Comparison

DNase II Antibody

Item no. PRS-2059-0.02mg
Manufacturer ProSci
Amount 0.02 mg
Quantity options 0.02 mg 0.1 mg
Category
Type Antibody Polyclonal
Format Liquid
Applications WB, IF, ELISA, IHC-P
Specific against Human (Homo sapiens)
Host Rabbit
Isotype IgG
Conjugate/Tag Unconjugated
Citations Zamzami N, Kroemer G. Condensed matter in cell death. Nature 1999;401:127-8
Yasuda T, Takeshita H, Iida R, Nakajima T, Hosomi O, Nakashima Y, Kishi K. Molecular cloning of the cDNA encoding human deoxyribonuclease II. J Biol Chem 1998;273:2610-6
Krieser RJ, Eastman A. The cloning and expression of human deoxyribonuclease II. A possible role in apoptosis. J Biol Chem 1998;273:30909-14
Shiokawa D, Tanuma S. Cloning of cDNAs encoding porcine and human DNase II. Biochem Biophys Res Commun 1998;247:864-9
NCBI DNASE2
ECLASS 10.1 32160702
ECLASS 11.0 32160702
UNSPSC 12352203
Alias DNase II Antibody: DNL,DNL2,DNASE2A,Deoxyribonuclease-2-alpha,Acid DNase,DNase II alpha
Shipping Condition Cool pack
Available
Manufacturer - Type
Primary Antibodies
Shipping Temperature
Blue Ice
Storage Conditions
DNase II antibody can be stored at 4˚ C for three months and -20˚ C, stable for up to one year. As with all antibodies care should be taken to avoid repeated freeze thaw cycles. Antibodies should not be exposed to prolonged high temperatures.
Molecular Weight
Aprox: 40 kDa
Manufacturer - Research Area
Apoptosis, Signal Transduction
Background
DNase II Antibody: Apoptosis is characterized by several morphological nuclear changes including chromatin condensation and nuclear fragmentation. These changes are triggered by the activation of members of caspase family, caspase activated DNase, and several novel proteins including AIF and Acinus. DNase II causes both chromatin condensation and DNA fragmentation. The genes encoding human, porcine, and murine DNase II have been cloned. The DNase II gene encodes a 40 kDa proenzyme. The mature enzyme consists of two non-identical subunits, the 32 kDa (alpha) and 12 kDa (beta) chains, generated by proteolytic processing. Overexpression of DNase II induces chromatin condensation. DNase II is ubiquitously expressed in human tissues.
By Type
Apoptosis, Signal Transduction
Badges
Trial Size
Modifications
None
Protein Gi #
2921838
Purification
DNase II Antibody is affinity chromatography purified via peptide column.
Positive Control 1
Positive Control 2
Positive Control 3
Concentration
1 mg/ml
Buffer
DNase II Antibody is supplied in PBS containing 0.02% sodium azide.
Application Note
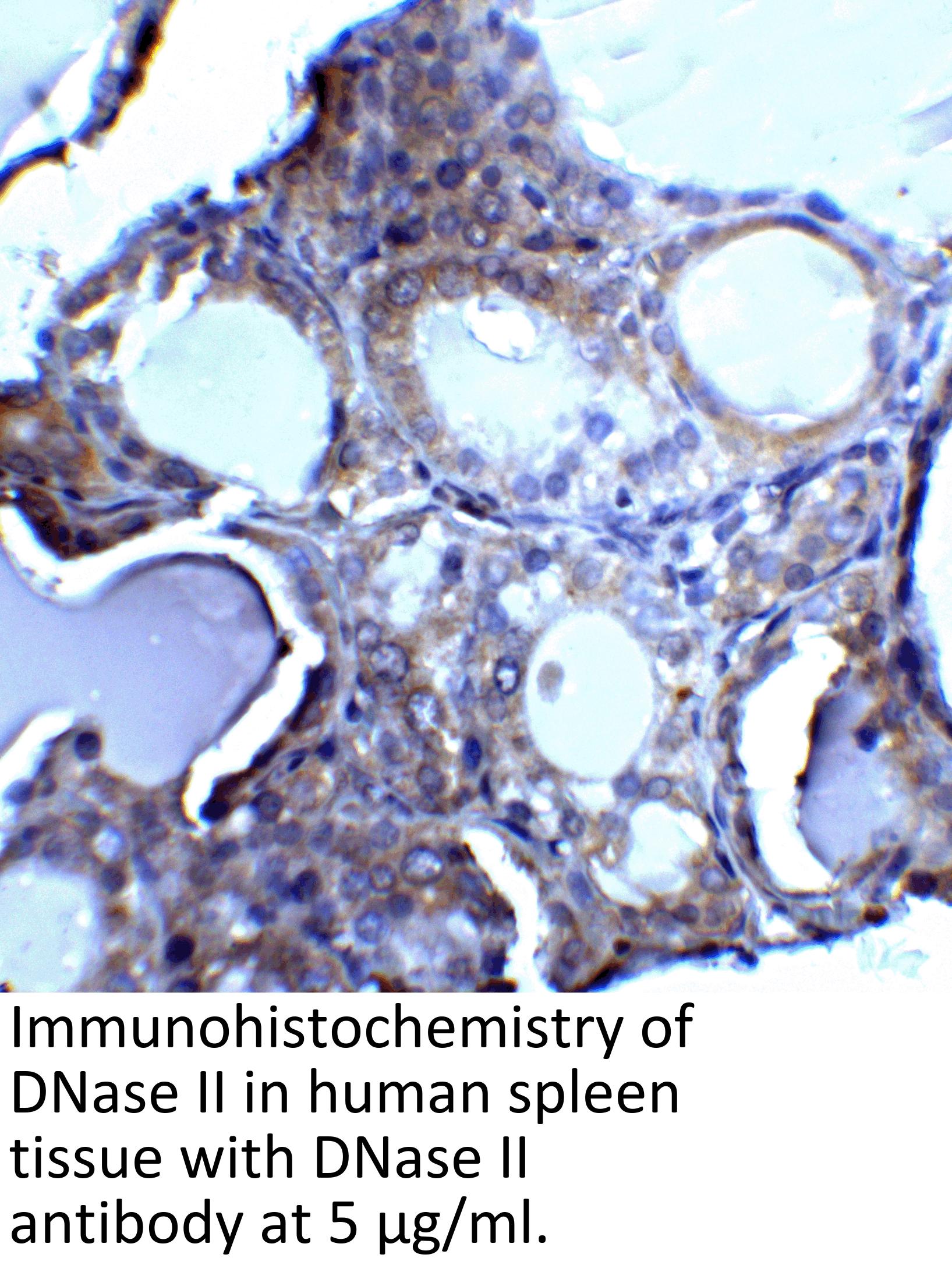
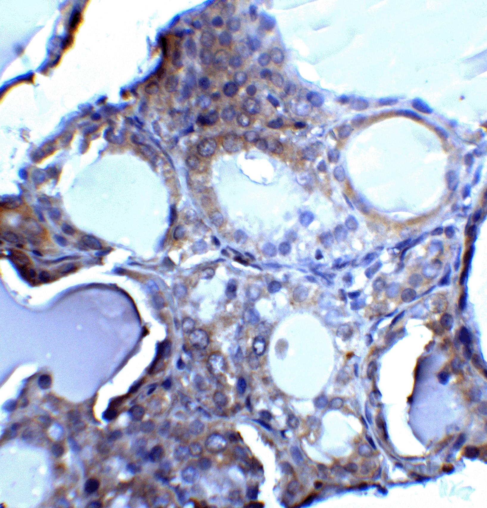
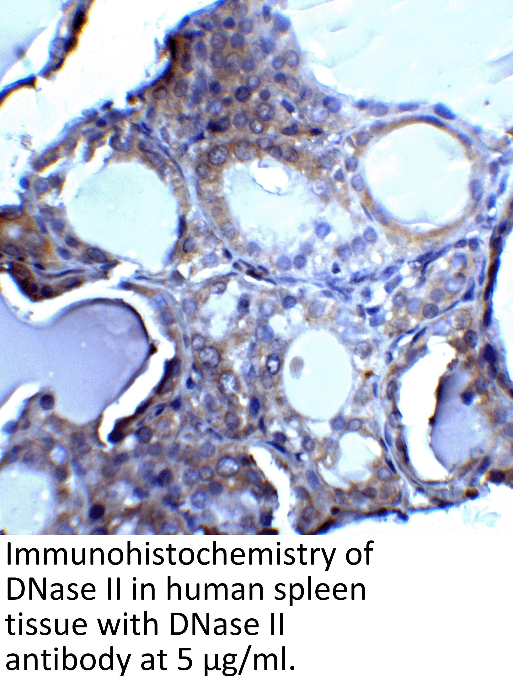
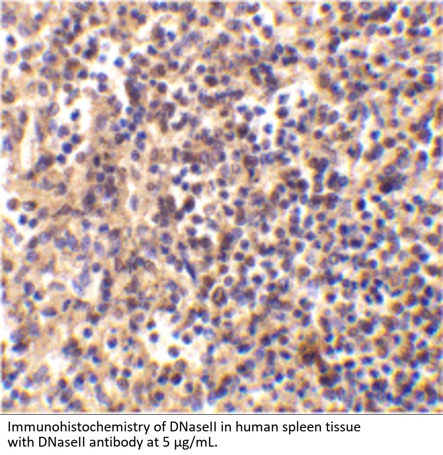
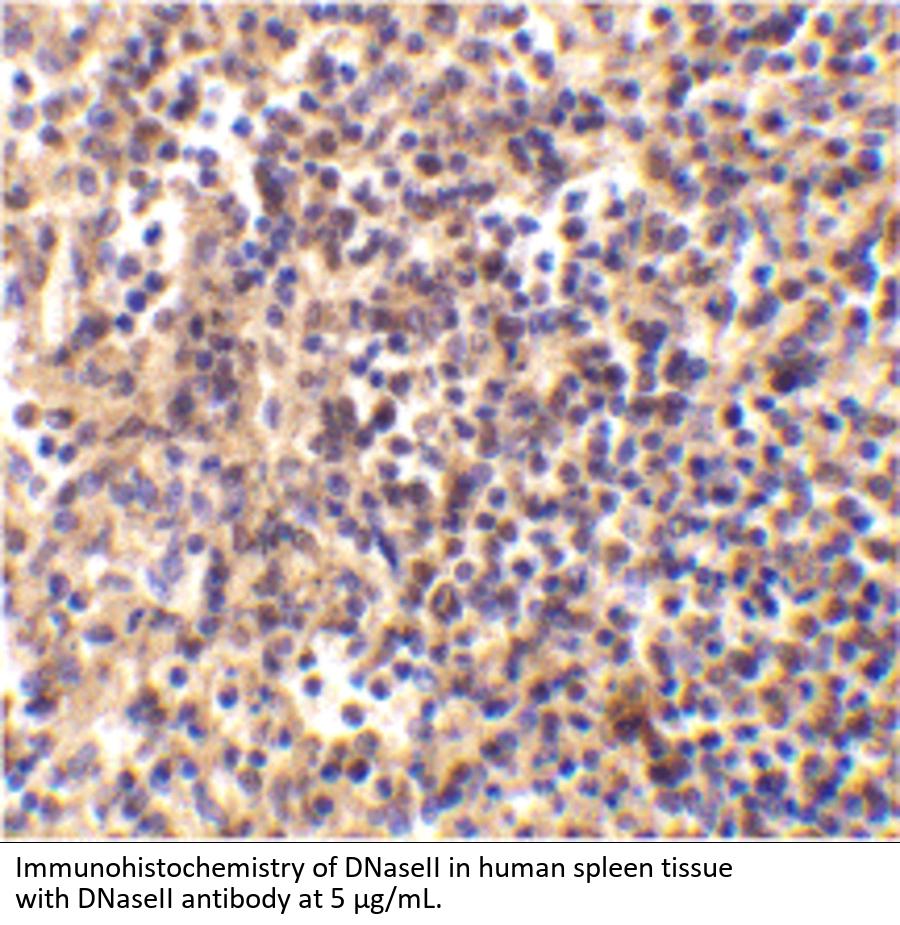
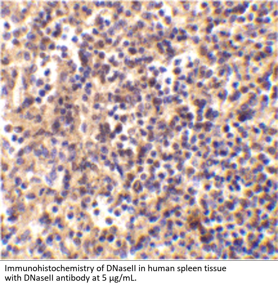
DNase II antibody can be used for detection of DNase II expression by Western blot at 0.5 μ g/mL. An approximate 40 kDa band can be detected, which represents the pro-enzyme of DNase II. Antibody can also be used for immunohistochemistry starting at 5 μ g/mL. For immunofluorescence start at 5 μ g/mL.
Antibody validated: Western Blot in human samples; Immunohistochemistry in human samples and Immunofluorescence in human samples. All other applications and species not yet tested.
Immunogen
DNase II antibody was raised against a 14 amino acid peptide near the carboxy terminus of human DNase II.

The immunogen is located within the last 50 amino acids of DNase II.
Clonality
Polyclonal
NCBI Official Name
deoxyribonuclease II, lysosomal
NCBI Organism
Homo sapiens
Disclaimer
Optimal dilutions/concentrations should be determined by the end user. The information provided is a guideline for product use. This product is for research use only.
User Note
Optimal dilutions for each application to be determined by the researcher.

Note: The presented information and documents (Manual, Product Datasheet, Safety Datasheet and Certificate of Analysis) correspond to our latest update and should serve for orientational purpose only. We do not guarantee the topicality. We would kindly ask you to make a request for specific requirements, if necessary.

All products are intended for research use only (RUO). Not for human, veterinary or therapeutic use.

Amount: 0.02 mg
Available: In stock
available

Compare

Add to wishlist

Get an offer

Request delivery time

Ask a technical question

Submit a bulk request

Questions about this Product?
 
Close