Comparison

PHAP I Antibody

Item no. PRS-3151-0.1mg
Manufacturer ProSci
Amount 0.1 mg
Quantity options 0.02 mg 0.1 mg
Category
Type Antibody Polyclonal
Format Liquid
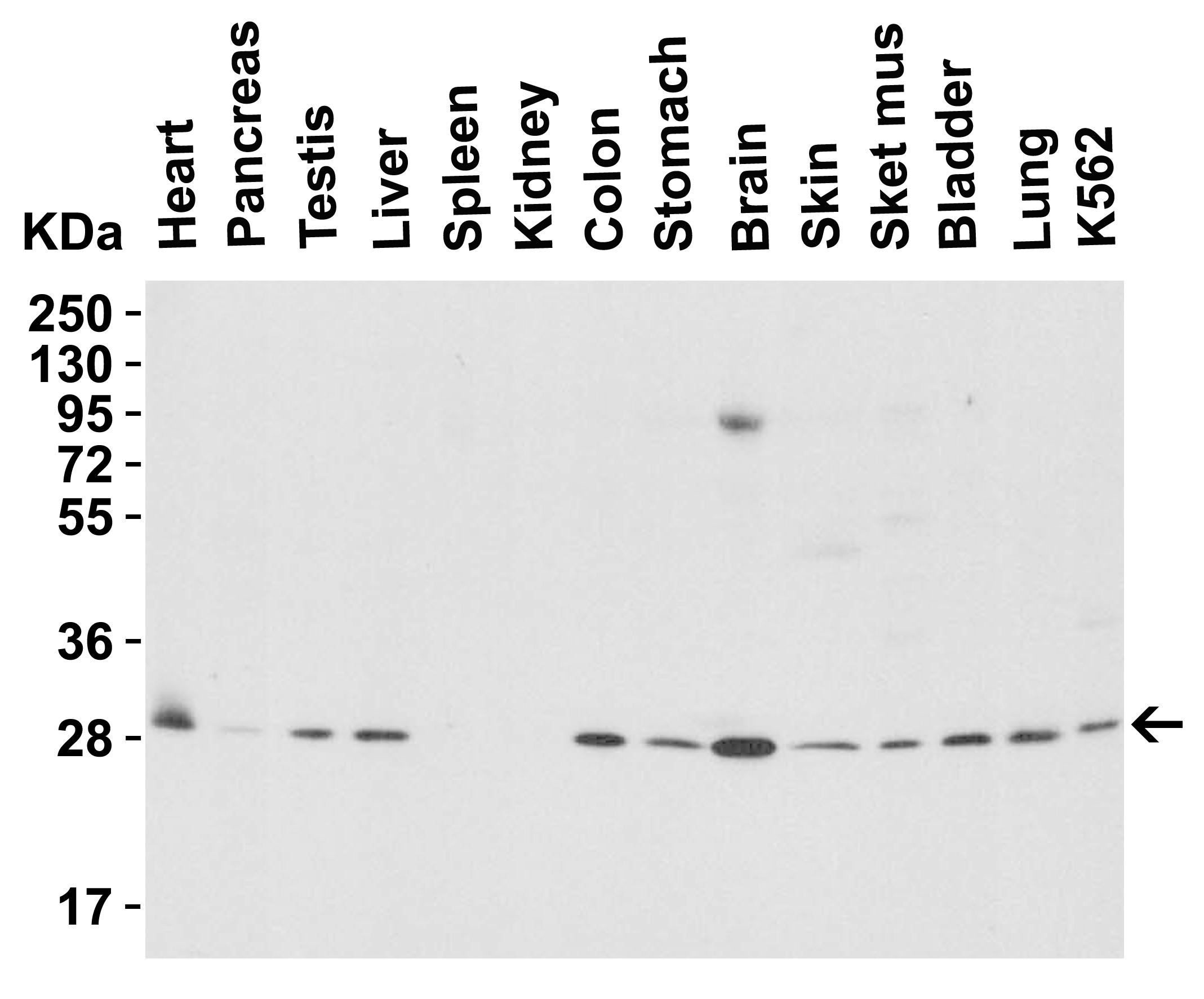
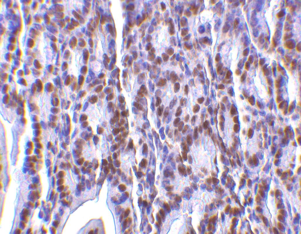
Applications WB, IF, ELISA, IHC-P
Specific against Human (Homo sapiens), Mouse (Murine, Mus musculus), Rat (Rattus norvegicus)
Host Rabbit
Isotype IgG
Conjugate/Tag Unconjugated
Citations Jiang et al. Science. 2003;299(5604):223-6.
Nicholson and Thornberry. Science. 2003 10;299(5604):214-5.
Schafer et al. Enhanced sensitivity to cytochrome c-induced apoptosis mediated by PHAPI in breast cancer cells. Cancer Res. 2006;66(4):2210-8. PMID: 16489023
Kurokawa et al. A network of substrates of the E3 ubiquitin ligases MDM2 and HUWE1 control apoptosis independently of p53. Sci Signal. 2013;6(274):ra32. PMID: 23652204
Parrish. Regulation of Apoptosis Following Mitochondrial Cytochrome c Release. Department of Pharmacology and Molecular Cancer Biology, Duke University. PhD Thesis, 2010.
NCBI ANP32A
ECLASS 10.1 32160702
ECLASS 11.0 32160702
UNSPSC 12352203
Alias PHAP I Antibody: LANP,MAPM,PP32,HPPCn,PHAP1,PHAPI,I1PP2A,C15orf1,LANP,Acidic leucine-rich nuclear phosphoprotein 32 family member A,Acidic nuclear phosphoprotein pp32
Shipping Condition Cool pack
Available
Manufacturer - Type
Primary Antibodies
Shipping Temperature
Blue Ice
Storage Conditions
PHAP I antibody can be stored at 4˚ C up to one year. Antibodies should not be exposed to prolonged high temperatures.
Molecular Weight
Predicted: 29kD
Observed: 29 kD
Manufacturer - Research Area
Apoptosis
Background
PHAP I Antibody: Apoptosis is related to many diseases and development. Caspase-9 plays a central role in cell death induced by a variety of apoptosis activators. Cytochrome c, after released from mitochondria, binds to Apaf-1, which forms an apoptosome that in turn binds to and activate procaspase-9. Activated caspase-9 cleaves and activates the effector caspases (caspase-3, -6 and -7), which are responsible for the proteolytic cleavage of many key proteins in apoptosis. The tumor suppressor putative HLA-DR-associated proteins (PHAPs) were recently identified as important regulators of mitochondrion apoptosis. PHAP appears to facilitate apoptosome-medicated caspase-9 activation and to stimulate the mitochondrial apoptotic pathway. PHAP was also shown to oppose both Ras- and Myc-medicated cell transformation.
By Type
Apoptosis
Badges
Trial Size, IAV
Modifications
None
Protein Gi #
730318
Purification
PHAP I Antibody is DEAE purified.
Positive Control 1
Positive Control 2
Positive Control 3
Positive Control 4
Concentration
1 mg/mL
Buffer
PHAP I Antibody is supplied in PBS containing 0.02% sodium azide.
Application Note
WB: 1 μ g/mL; IHC: 2 μ g/mL; IF: 20 μ g/mL.
Antibody validated: Western Blot in human, mouse and rat samples; Immunohistochemistry in mouse samples; Immunofluorescence in mouse samples. All other applications and species not yet tested.
Homology
Predicted species reactivity based on immunogen sequence: Bovine: (85%)
Manufacturer - Specificity
This polyclonal antibody has no cross-reaction to PHAP I2a and PHAP III.
Immunogen
Anti-PHAP I antibody (3151) was raised against a peptide corresponding to 14 amino acids near the carboxy terminus of human PHAP I .

The immunogen is located within the last 50 amino acids of PHAP I.
Clonality
Polyclonal
NCBI Official Name
acidic (leucine-rich) nuclear phosphoprotein 32 family, member A
NCBI Organism
Homo sapiens
Disclaimer
Optimal dilutions/concentrations should be determined by the end user. The information provided is a guideline for product use. This product is for research use only.
User Note
Optimal dilutions for each application to be determined by the researcher.

Note: The presented information and documents (Manual, Product Datasheet, Safety Datasheet and Certificate of Analysis) correspond to our latest update and should serve for orientational purpose only. We do not guarantee the topicality. We would kindly ask you to make a request for specific requirements, if necessary.

All products are intended for research use only (RUO). Not for human, veterinary or therapeutic use.

Amount: 0.1 mg
Available: In stock
available

Compare

Add to wishlist

Get an offer

Request delivery time

Ask a technical question

Submit a bulk request

Questions about this Product?
 
Close