Comparison

TWEAK Antibody

Item no. PRS-3791-0.1mg
Manufacturer ProSci
Amount 0.1 mg
Quantity options 0.02 mg 0.1 mg
Category
Type Antibody Polyclonal
Format Liquid
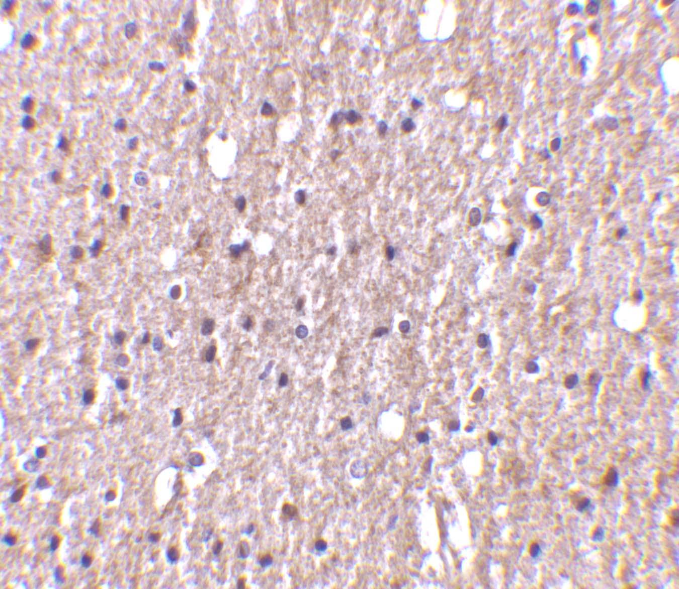
Applications WB, IF, ELISA, IHC-P
Specific against Human (Homo sapiens), Mouse (Murine, Mus musculus)
Host Rabbit
Isotype IgG
Conjugate/Tag Unconjugated
Citations Wiley and Winkles. Cyto. And Growth Factor Rev. 2003; 14:241-9.
Chicheportiche et al. J. Biol. Chem. 1997; 272:32401-10.
Lynch et al. J. Biol. Chem. 1999; 274:8455-9.
Chicheportiche et al. Arthr. Res. 2002; 4:126-33. 5.
NCBI TNFSF12
ECLASS 10.1 32160702
ECLASS 11.0 32160702
UNSPSC 12352203
Alias TWEAK Antibody: APO3L,DR3LG,TWEAK,APO3L,UNQ181/PRO207,Tumor necrosis factor ligand superfamily member 12,APO3 ligand
Shipping Condition Cool pack
Available
Manufacturer - Type
Primary Antibodies
Shipping Temperature
Blue Ice
Storage Conditions
TWEAK antibody can be stored at 4˚ C for three months and -20˚ C, stable for up to one year. As with all antibodies care should be taken to avoid repeated freeze thaw cycles. Antibodies should not be exposed to prolonged high temperatures.
Molecular Weight
Predicted: 27 and 36 kD
Observed: 27 and 36 kD
Manufacturer - Research Area
Apoptosis, Cancer
Background
TWEAK Antibody: TNF-related weak inducer of apoptosis (TWEAK) is a member of the tumor necrosis factor superfamily (TNFSF) of structurally related cytokines. Like most other members of this family, TWEAK is a cell surface-associated type II transmembrane protein although a smaller, biologically active form can also be generated by cleavage near the cell membrane. TWEAK has multiple biological activities, including stimulation of cell growth and angiogenesis, induction of inflammatory cytokines, in addition to stimulation of apoptosis. The TWEAK signal transduction pathway has not been well established but it appears to signal via TweakR/Fn14 in a manner similar to that described for other TNFSF members that bind receptors lacking death domains.
By Type
Apoptosis, Cancer
Badges
Trial Size
Modifications
None
Protein Gi #
4507597
Purification
TWEAK Antibody is Protein A-purified.
Isoforms
Human TWEAK has 2 isoforms, including isoform 1 (249aa, 27kD) and isoform 2 (330aa, 36kD). Mouse TWEAK has one isoform (249aa, 27kD) and Rat TWEAK also has one isoform (249aa, 27kD).
Validation

Recombinant Protein Test (Figure 2): Anti-TWEAK antibodies (3791) detected human TWEAK recombinant protein at different concentrations.

Positive Control 1
Positive Control 2
Positive Control 3
Concentration
1 mg/mL
Buffer
TWEAK Antibody is supplied in PBS containing 0.02% sodium azide.
Application Note
WB: 0.5-4 μ g/mL; IHC: 5-10 μ g/mL; IF: 20 μ g/mL.
Antibody validated: Western Blot in human and mouse samples; Immunohistochemistry in human and mouse samples; Immunofluorescence in mouse samples. All other applications and species not yet tested.
Immunogen
Anti-TWEAK antibody (3791) was raised against recombinant human TWEAK protein.
Clonality
Polyclonal
NCBI Official Name
tumor necrosis factor (ligand) superfamily, member 12
NCBI Organism
Homo sapiens
Disclaimer
Optimal dilutions/concentrations should be determined by the end user. The information provided is a guideline for product use. This product is for research use only.
User Note
Optimal dilutions for each application to be determined by the researcher.

Note: The presented information and documents (Manual, Product Datasheet, Safety Datasheet and Certificate of Analysis) correspond to our latest update and should serve for orientational purpose only. We do not guarantee the topicality. We would kindly ask you to make a request for specific requirements, if necessary.

All products are intended for research use only (RUO). Not for human, veterinary or therapeutic use.

Amount: 0.1 mg
Available: In stock
available

Compare

Add to wishlist

Get an offer

Request delivery time

Ask a technical question

Submit a bulk request

Questions about this Product?
 
Close