Comparison

IL-23 Antibody

Item no. PRS-3795-0.1mg
Manufacturer ProSci
Amount 0.1 mg
Quantity options 0.02 mg 0.1 mg
Category
Type Antibody Polyclonal
Format Liquid
Applications WB, IF, ELISA, IHC-P
Specific against Human (Homo sapiens), Mouse (Murine, Mus musculus)
Host Rabbit
Isotype IgG
Conjugate/Tag Unconjugated
Citations Hunter. Nat. Rev. Immunol. 2005; 5:521-31.
Oppmann et al. Immunity 2000; 13:715-25.
Sheibanie et al. FASEB J. 2004; 18:1318-20.
Pirhonen et al. J. Immunol. 2002; 169:5673-8.
Yoon et al. IL-23 induced in keratinocytes by endogenous TLR4 ligands polarizes dendritic cells to drive IL-22 responses to skin immunization. J Exp Med. 2016;213(10):2147-66. PMID: 27551155
NCBI IL23A
ECLASS 10.1 32160702
ECLASS 11.0 32160702
UNSPSC 12352203
Alias IL-23 Antibody: P19,SGRF,IL-23,IL-23A,IL23P19,UNQ2498/PRO5798,Interleukin-23 subunit alpha,Interleukin-23 subunit p19,IL-23 subunit alpha
Shipping Condition Cool pack
Available
Manufacturer - Type
Primary Antibodies
Shipping Temperature
Blue Ice
Storage Conditions
IL-23 antibody can be stored at 4˚ C up to one year. Antibodies should not be exposed to prolonged high temperatures.
Molecular Weight
Predicted: 21kD
Observed: 22 kD
Manufacturer - Research Area
Immunology, Chemokines & Cytokines, Neuroscience
Background
IL-23 Antibody: Like interleukin-27 (IL-27), IL-23 is a recently discovered member of the IL-6/IL-12 family of proinflammatory and immunoregulatory cytokines. It exists as a heterodimer composed of the IL-12p40 subunit and a novel p19 subunit. IL-23 is secreted by activated dendritic cells, macrophages, and monocytes. Its biological activities include enhancing the proliferation of memory T cells and the production of IFN-gamma, IL-12, and TNF-α from activated T cells, and can stimulate macrophages to produce TNF-α and nitric oxide. It has also been shown to possess potent anti-tumor and anti-metastatic activity in mouse models of cancer, suggesting a potential role for IL-23 in therapeutic treatment of cancer.
By Type
Immunology, Chemokines & Cytokines, Neuroscience
Badges
Trial Size
Modifications
None
Protein Gi #
42542809
Purification
IL-23 Antibody is affinity chromatography purified via peptide column.
Isoforms
Human IL-23 has one isoform (189aa, 20.7kD). Mouse IL-23 has one isoform (196aa, 22.1kD) and Rat IL-23 also has one isoform (196aa, 22kD). 3795 can detect human and mouse, and possibly detect rat.
Validation

Recombinant Protein Test (Figure 2): Anti-IL-23 antibodies (3795) detected human IL-23 recombinant protein at different concentrations.


 


Induced Expression Validation (Figure 6): IL-23 expression detected by anit-AIF antibodies was up-regulated by tape stripping.


Positive Control 1
Concentration
1 mg/mL
Buffer
IL-23 Antibody is supplied in PBS containing 0.02% sodium azide.
Application Note
WB: 0.25-2 μ g/mL; IF: 20 μ g/mL, IHC: 2 μ g/mL.
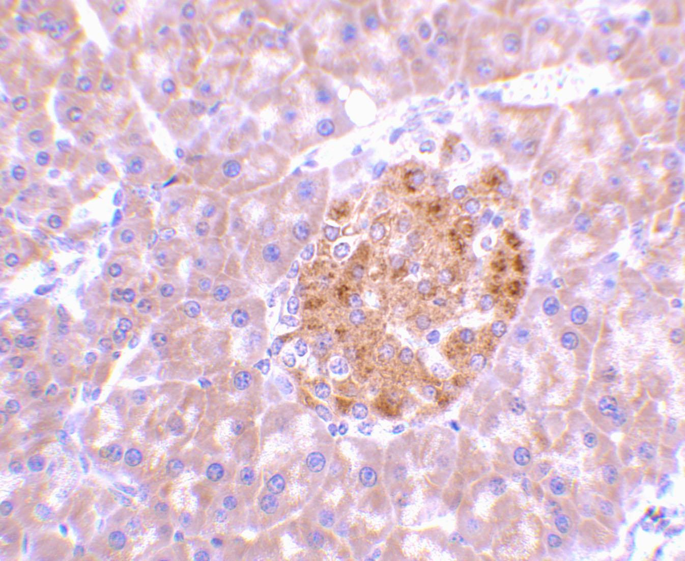
Antibody validated: Western Blot in human and mouse samples; Immunofluorescence and Immunohistochemistry in mouse samples. All other applications and species not yet tested.

Homology
Predicted species reactivity based on immunogen sequence: Horse: (94%), Pig: (82%), Rat: (76%), Guinea pig: (76%)
Immunogen
Anti-IL-23 antibody (3795) was raised against a peptide corresponding to 17 amino acids near the amino terminus of human IL-23.

The immunogen is located within amino acids 40 - 90 of IL-23.
Clonality
Polyclonal
NCBI Official Name
interleukin 23, alpha subunit p19
NCBI Organism
Homo sapiens
Disclaimer
Optimal dilutions/concentrations should be determined by the end user. The information provided is a guideline for product use. This product is for research use only.
User Note
Optimal dilutions for each application to be determined by the researcher.

Note: The presented information and documents (Manual, Product Datasheet, Safety Datasheet and Certificate of Analysis) correspond to our latest update and should serve for orientational purpose only. We do not guarantee the topicality. We would kindly ask you to make a request for specific requirements, if necessary.

All products are intended for research use only (RUO). Not for human, veterinary or therapeutic use.

Amount: 0.1 mg
Available: In stock
available

Compare

Add to wishlist

Get an offer

Request delivery time

Ask a technical question

Submit a bulk request

Questions about this Product?
 
Close