Comparison

sRANK Ligand Antibody

Item no. PRS-3963-0.02mg
Manufacturer ProSci
Amount 0.02 mg
Quantity options 0.02 mg 0.1 mg
Category
Type Antibody Polyclonal
Format Liquid
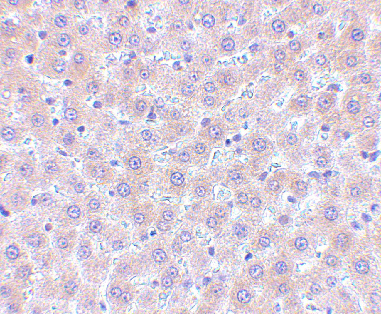
Applications WB, ELISA, IHC-P
Specific against Human (Homo sapiens), Mouse (Murine, Mus musculus), Rat (Rattus norvegicus)
Host Rabbit
Isotype IgG
Conjugate/Tag Unconjugated
Citations Wong, et al. J. Biol. Chem. 1997; 272:25190-4.
Kong et al. Nature 1999; 397:315-23.
Weitzmann et al. Blood 2000; 96:1873-8.
Bharti et al. J. Biol. Chem. 2004; 279:6065-76.
Hassan et al. Coordination of early cellular reactions during activation of bone resorption in the rat mandible periosteum: An immunohistochemical study. Heliyon. 2017;3(10):e00430. PMID: PMID: 29226261.
NCBI TNFSF11
ECLASS 10.1 32160702
ECLASS 11.0 32160702
UNSPSC 12352203
Alias sRANK Ligand Antibody: ODF,OPGL,sOdf,CD254,OPTB2,RANKL,TRANCE,hRANKL2,Tumor necrosis factor ligand superfamily member 11,Osteoclast differentiation factor,ODF
Shipping Condition Cool pack
Available
Manufacturer - Type
Primary Antibodies
Shipping Temperature
Blue Ice
Storage Conditions
+4C storage
Molecular Weight
Predicted: 36kD
Observed: 36 kD
Manufacturer - Research Area
Apoptosis
Background
sRANK Ligand Antibody: The receptor activator of NF-κ B ligand (RANK-L) is a recently discovered member of the TNF-ligand family involved in the regulation of the T cell-dependent immune response, lymph node organogenesis and bone formation. RANK-L exists as both a normal, transmembrane form and a truncated, soluble form (sRANK-L), both of which can stimulate the receptor. Activation of T cells, such as by treatment with interleukin-7, induces RANK-L production and leads to an increase of osteoclast formation and bone loss. Finally, sRANK-L can activate the antiapoptotic kinase Akt through a signaling complex involving Src kinase and TRAF6, suggesting sRANK-L may also play a role in regulating apoptosis. This antibody will recognize both the soluble form and the uncleaved transmembrane form of RANK-L.
By Type
Apoptosis
Badges
Trial Size
Modifications
None
Protein Gi #
4507595
Purification
sRANK Ligand Antibody is affinity chromatography purified via peptide column.
Isoforms
Human sRANK-L has 3 isoforms, including isoform 1 (317aa, 35.5kD), isoform 2 (244aa, 27.7kD) and isoform 3 (270aa, 30.5kD). Mouse sRANK-L also has 3 isoforms, including isoform 1 (316aa, 35kD), isoform 2 (287aa, 32.3kD) and isoform 3 (199aa, 22.2kD). Rat sRANK-L has one isoform (318aa, 38.4kD). 3963 can detect human, mouse and rat.
Validation

Recombinant Protein Test (Figure 3): Anti-sRANK-L antibodies (3963) detected human sRANK-L recombinant protein at different concentrations.


Induced expression validation (Figure 6): sRANK-L expression detected by anit-sRANK-L antibodies (3963) was up-regulated after 18hr by extraction of  upper jaw molars in rat osteogenic cells.


Positive Control 1
Positive Control 2
Positive Control 3
Positive Control 4
Concentration
1 mg/mL
Buffer
sRANK Ligand Antibody is supplied in PBS containing 0.02% sodium azide.
Application Note
WB: 0.25-4 μ g/mL; IHC: 5 μ g/mL.
Antibody validated: Western Blot in human, mouse and rat samples; Immunohistochemistry in human and rat samples. All other applications and species not yet tested.

Immunogen
Anti-sRANK-L antibody (3963) was raised against a peptide corresponding to 14 amino acids near the center of human sRANK-L.

The immunogen is located within amino acids 140-190 of sRANK-L.
Clonality
Polyclonal
NCBI Official Name
tumor necrosis factor (ligand) superfamily, member 11
NCBI Organism
Homo sapiens
Disclaimer
Optimal dilutions/concentrations should be determined by the end user. The information provided is a guideline for product use. This product is for research use only.
User Note
Optimal dilutions for each application to be determined by the researcher.

Note: The presented information and documents (Manual, Product Datasheet, Safety Datasheet and Certificate of Analysis) correspond to our latest update and should serve for orientational purpose only. We do not guarantee the topicality. We would kindly ask you to make a request for specific requirements, if necessary.

All products are intended for research use only (RUO). Not for human, veterinary or therapeutic use.

Amount: 0.02 mg
Available: In stock
available

Compare

Add to wishlist

Get an offer

Request delivery time

Ask a technical question

Submit a bulk request

Questions about this Product?
 
Close