Comparison

Anti-Ubiquityl-Histone H2A (Lys119) Rabbit mAb

Item no. PTM-1121
Manufacturer PTM Biolabs
Amount 100 ul
Category
Type Antibody Monoclonal
Format Lyophilized powder
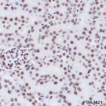
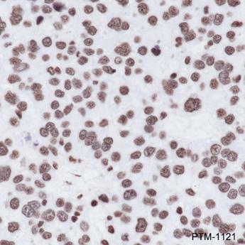
Applications WB, IP, ICC, IHC-P, CHIP
Clone JRMR-353
Specific against Human (Homo sapiens), Mouse (Murine, Mus musculus), Rat (Rattus norvegicus)
Host Rabbit
Isotype IgG
Conjugate/Tag Unconjugated
Citations Zhao Ran, et al. CBX4 plays a bidirectional role in transcriptional regulation and lung adenocarcinoma progression. Cell Death & Disease, 2024. https://www.nature.com/articles/s41419-024-06745-z.
ECLASS 10.1 42030590
ECLASS 11.0 42030590
UNSPSC 12352203
Alias H2AK119ub
Shipping Condition Room temperature
Available
Manufacturer - Type
Primary Antibodies
Manufacturer - Applications
WB, IHC-P, ICC/IF, IP, ChIP
Manufacturer - Category
Histone & Histone Modification Antibodies
Manufacturer - Targets
Histone H2A
Shipping Temperature
Ambient temperature
Storage Conditions
Store at -20°C. Avoid freeze/thaw cycles.
Molecular Weight
23
Stability
Stable for 12 months from date of receipt/reconstitution.
Manufacturer - Research Area
Epigenetics
Product description
Nucleosomes wrap and compact DNA into chromatin, limiting DNA accessibility to the cellular machineries which require DNA as a template. Histones thereby play a central role in transcription regulation, DNA repair, DNA replication and chromosomal stability. Ubiquitination, a post-translational modification in which the ubiquitin is covalently attached to a substrate protein, occurs on histones H2A and H2B. Histone H2A is mono-ubiquitinated at Lys119 by the Polycomb Repressor Complex 1 (PRC1) and is critical for gene silencing, X chromosome inactivation, and cellular response to DNA damage. Histone H2A is also monoubiquitinated at Lys119 at sites of DNA damage.
Purification Method
Protein A purified
Manufacturer - Specificity
Anti-Ubiquityl-Histone H2A (Lys119) Rabbit mAb detects histone H2A only when it is ubiquitinated at Lys119.
Formula
PBS, Glycerol, BSA
PTM
Ubiquityl
Modification Site
Lys119
Immunogen
Ubiquitinated human histone H2A (Lys119) peptide
Clonality
Recombinant Monoclonal
Background
Nucleosomes wrap and compact DNA into chromatin, limiting DNA accessibility to the cellular machineries which require DNA as a template. Histones thereby play a central role in transcription regulation, DNA repair, DNA replication and chromosomal stability. Ubiquitination, a post-translational modification in which the ubiquitin is covalently attached to a substrate protein, occurs on histones H2A and H2B. Histone H2A is mono-ubiquitinated at Lys119 by the Polycomb Repressor Complex 1 (PRC1) and is critical for gene silencing, X chromosome inactivation, and cellular response to DNA damage. Histone H2A is also monoubiquitinated at Lys119 at sites of DNA damage.
Cellular Localization
Nucleus

Note: The presented information and documents (Manual, Product Datasheet, Safety Datasheet and Certificate of Analysis) correspond to our latest update and should serve for orientational purpose only. We do not guarantee the topicality. We would kindly ask you to make a request for specific requirements, if necessary.

All products are intended for research use only (RUO). Not for human, veterinary or therapeutic use.

Amount: 100 ul
Available: In stock
available

Compare

Add to wishlist

Get an offer

Request delivery time

Ask a technical question

Submit a bulk request

Questions about this Product?
 
Close