Comparison

Anti-Phospho-CDK2-T160 antibody (STJ22062) European Partner

Item no. STJ22062-100
Manufacturer St John's Laboratory
Amount 100 uL
Quantity options 100 uL 20 uL 200 uL (2 x 100 uL)
Category
Type Antibody Primary
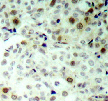
Applications WB, ELISA, IHC-P
Specific against Human (Homo sapiens), Mouse (Murine, Mus musculus), Rat (Rattus norvegicus)
Host Rabbit
Isotype IgG
Conjugate/Tag Unconjugated
ECLASS 10.1 32160702
ECLASS 11.0 32160702
UNSPSC 12352203
Available
Manufacturer - Type
Primary antibodies
Manufacturer - Targets
CDK2
Storage Conditions
Store at-20°C for up to 1 year from the date of receipt, and avoid repeat freeze-thaw cycles.
Formulation
PBS with 0.02% Sodium Azide, 50% Glycerol, pH 7.3.
Concentration
Lot specific
Purification
Affinity purification
Immunogen
A synthetic phosphorylated peptide around T160 of human CDK2 (NP_001789.2?/NP_001249.1).
Clonality
Polyclonal
Dilution range
WB:1:100-1:500
IHC-P:1:50-1:100
ELISA:Recommended starting concentration is 1 Mu g/mL. Please optimize the concentration based on your specific assay requirements.
Note
STRICTLY FOR FURTHER SCIENTIFIC RESEARCH USE ONLY (RUO). MUST NOT TO BE USED IN DIAGNOSTIC OR THERAPEUTIC APPLICATIONS.
Manufacturer - Specificity
A synthetic phosphorylated peptide around T160 of human CDK2 (NP_001789.2?/NP_001249.1).

Note: The presented information and documents (Manual, Product Datasheet, Safety Datasheet and Certificate of Analysis) correspond to our latest update and should serve for orientational purpose only. We do not guarantee the topicality. We would kindly ask you to make a request for specific requirements, if necessary.

All products are intended for research use only (RUO). Not for human, veterinary or therapeutic use.

Amount: 100 uL
Available: In stock
available

Delivery expected until 11/27/2025 

Compare

Add to wishlist

Get an offer

Request delivery time

Ask a technical question

Submit a bulk request

Questions about this Product?
 
Close