Comparison

Anti-BECN1 antibody (1-450) (STJ29492) European Partner

Item no. STJ29492-200
Manufacturer St John's Laboratory
Amount 200 uL
Quantity options 100 uL 20 uL 200 uL
Category
Type Antibody Primary
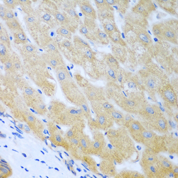
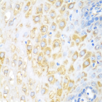
Applications WB, IP, ELISA, IHC-P
Specific against Human (Homo sapiens), Mouse (Murine, Mus musculus), Rat (Rattus norvegicus)
Host Rabbit
Isotype IgG
Conjugate/Tag Unconjugated
ECLASS 10.1 32160702
ECLASS 11.0 32160702
UNSPSC 12352203
Available
Manufacturer - Type
Primary antibodies
Manufacturer - Targets
BECN1
Storage Conditions
Store at-20°C for up to 1 year from the date of receipt, and avoid repeat freeze-thaw cycles.
Formulation
PBS with 0.09% Sodium Azide, 50% Glycerol, pH 7.3.
Concentration
Lot specific
Purification
Affinity purification
Immunogen
Recombinant fusion protein containing a sequence corresponding to amino acids 1-450 of human Beclin 1 (NP_003757.1).
Clonality
Polyclonal
Dilution range
WB:1:500-1:2000
IHC-P:1:100-1:500
IP:0.5 Mu g-4 Mu g antibody for 200 Mu g-400 Mu g extracts of whole cells
ELISA:Recommended starting concentration is 1 Mu g/mL. Please optimize the concentration based on your specific assay requirements.
Note
STRICTLY FOR FURTHER SCIENTIFIC RESEARCH USE ONLY (RUO). MUST NOT TO BE USED IN DIAGNOSTIC OR THERAPEUTIC APPLICATIONS.
Immunogen Region
1-450
Manufacturer - Specificity
Recombinant fusion protein containing a sequence corresponding to amino acids 1-280 of human Beclin 1 (NP_003757.1).

Note: The presented information and documents (Manual, Product Datasheet, Safety Datasheet and Certificate of Analysis) correspond to our latest update and should serve for orientational purpose only. We do not guarantee the topicality. We would kindly ask you to make a request for specific requirements, if necessary.

All products are intended for research use only (RUO). Not for human, veterinary or therapeutic use.

Amount: 200 uL
Available: In stock
available

Compare

Add to wishlist

Get an offer

Request delivery time

Ask a technical question

Submit a bulk request

Questions about this Product?
 
Close