Comparison

Anti-Survivin BIRC5 Antibody European Partner

Item no. BOS-A00379-1
Manufacturer Boster
Amount 0.1 mg
Quantity options 0.1 mg 100 ul 100 ul
Category
Format Liquid
Applications WB, IF, ICC, ELISA, IHC-P
Specific against Human (Homo sapiens), Mouse (Murine, Mus musculus)
Host Rabbit
Isotype IgG
Alias API4,EPR-1,API4,IAP4,Baculoviral IAP repeat-containing protein 5,Apoptosis inhibitor 4
Available
Manufacturer - Category
Primary Antibodies
Storage Conditions
Survivin antibody can be stored at 4°C for three months and -20°C, stable for up to one year. Avoid repeated freeze-thaw cycles. Antibodies should not be exposed to prolonged high temperatures.
Molecular Weight
16389 MW
Clonality
Polyclonal
Application Details
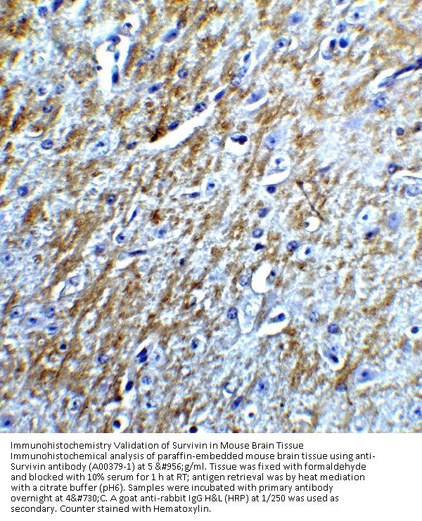
WB: 1-5μg/mL; ICC: 5 μg/mL; IF: 20 μg/mL; IHC: 5 μg/mL.
Antibody validated: Western Blot in human samples; Immunocytochemistry in human samples; Immunofluorescence and Immunohistochemistry in mouse samples. All other applications and species not yet tested. Optimal dilutions for each application should be determined by the researcher.
Gene Name
BIRC5
Gene Full Name
Baculoviral IAP repeat-containing 5
Background
Apoptosis, or programmed cell death, is related to many diseases, such as cancer. Apoptosis is triggered by a variety of stimuli including members in the TNF family and prevented by the inhibitor of apoptosis (IAP) proteins. IAP proteins form a conserved gene family that binds to and inhibits cell death proteases. A novel IAP protein was recently identified and designated survivin, apoptosis inhibitor 4 (API4), and TIAP. Survivin/TIAP interacted with the processed form of caspase-3 and inhibited its proteolytic activity. Survivin/TIAP is predominantly expressed in tissues of embryos, transformed cell lines, and many human cancers and lymphomas.
Immunogen
Anti-Survivin antibody was raised against a peptide corresponding to 12 amino acids near the amino terminus of human Survivin. The immunogen is located within the first 50 amino acids of Survivin.
Contents
Survivin Antibody is supplied in PBS containing 0.02% sodium azide.
Purification
Survivin Antibody is affinity chromatography purified via peptide column.
Concentration
1 mg/mL
Manufacturer - Research Category
Apoptosis, Cancer
Protein Name
Baculoviral IAP repeat-containing 5
Protein Function
Multitasking protein that has dual roles in promoting
cell proliferation and preventing apoptosis (PubMed:9859993,
PubMed:21364656, PubMed:20627126). Component of a chromosome
passage protein complex (CPC) which is essential for chromosome
alignment and segregation during mitosis and cytokinesis
(PubMed:16322459). Acts as an important regulator of the
localization of this complex; directs CPC movement to different
locations from the inner centromere during prometaphase to midbody
during cytokinesis and participates in the organization of the
center spindle by associating with polymerized microtubules
(PubMed:20826784). Involved in the recruitment of CPC to
centromeres during early mitosis via association with histone H3
phosphorylated at 'Thr-3' (H3pT3) during mitosis
(PubMed:20929775). The complex with RAN plays a role in mitotic
spindle formation by serving as a physical scaffold to help
deliver the RAN effector molecule TPX2 to microtubules
(PubMed:18591255). May counteract a default induction of apoptosis
in G2/M phase (PubMed:9859993). The acetylated form represses
STAT3 transactivation of target gene promoters (PubMed:20826784).
May play a role in neoplasia (PubMed:10626797). Inhibitor of CASP3
and CASP7 (PubMed:21536684). Isoform 2 and isoform 3 do not appear
to play vital roles in mitosis (PubMed:12773388, PubMed:16291752).
Isoform 3 shows a marked reduction in its anti-apoptotic effects
when compared with the displayed wild-type isoform
(PubMed:10626797).
Subcellular Localization
Cytoplasm
Description
Boster Bio Anti-Survivin BIRC5 Antibody (Catalog # A00379-1). Tested in ELISA, WB, ICC, IHC-P, IF applications. This antibody reacts with Human, Mouse.
Tissue Specificity
Expressed only in fetal kidney and liver, and
to lesser extent, lung and brain (PubMed:10626797). Abundantly
expressed in adenocarcinoma (lung, pancreas, colon, breast, and
prostate) and in high-grade lymphomas (PubMed:14741722,
PubMed:16329164). Also expressed in various renal cell carcinoma
cell lines (PubMed:10626797). Expressed in cochlea including the
organ of Corti, the lateral wall, the interdental cells of the
Limbus as well as in Schwann cells and cells of the cochlear nerve
and the spiral ganglions (at protein level). Not expressed in
cells of the inner and outer sulcus or the Reissner's membrane (at
protein level) (PubMed:21364656, PubMed:20627126).
Predicted Reactivity
Pig, Bovine, Rat

Note: The presented information and documents (Manual, Product Datasheet, Safety Datasheet and Certificate of Analysis) correspond to our latest update and should serve for orientational purpose only. We do not guarantee the topicality. We would kindly ask you to make a request for specific requirements, if necessary.

All products are intended for research use only (RUO). Not for human, veterinary or therapeutic use.

Amount: 0.1 mg
Available: In stock
available

Compare

Add to wishlist

Get an offer

Request delivery time

Ask a technical question

Submit a bulk request

Questions about this Product?