Comparison

Anti-FABP7 Antibody European Partner

Item no. BOS-A02646
Manufacturer Boster
Amount 0.1 mg
Quantity options 0.1 mg 100 ul 100 ul/vial
Category
Format Liquid
Applications WB, ELISA, IHC-P
Specific against Human (Homo sapiens)
Host Rabbit
Isotype IgG
Alias MRG,BLBP,FABPB,B-FABP,MRG,Fatty acid-binding protein,brain,Brain lipid-binding protein
Available
Manufacturer - Category
Primary Antibodies
Storage Conditions
FABP7 antibody can be stored at 4°C for three months and -20°C, stable for up to one year. Avoid repeated freeze-thaw cycles. Antibodies should not be exposed to prolonged high temperatures.
Molecular Weight
14889 MW
Clonality
Polyclonal
Application Details
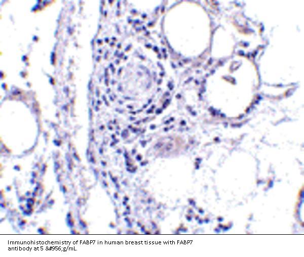
FABP7 antibody can be used for detection of FABP7 by Western blot at 0.5 - 2 μg/mL. Antibody can also be used for immunohistochemistry starting at 5 μg/mL.
Antibody validated: Western Blot in human samples and Immunohistochemistry in human samples. All other applications and species not yet tested. Optimal dilutions for each application should be determined by the researcher.
Gene Name
FABP7
Gene Full Name
Fatty acid binding protein 7, brain
Background
FABP7 was initially isolated from a human fetal brain cDNA library and whose mRNA was expressed in adult brain and muscle tissues at low levels. The protein encoded by this gene is a member of the fatty acid binding protein (FABPs) family, a group of small, highly conserved, cytoplasmic proteins that bind long-chain fatty acids and other hydrophobic ligands. FABPs are thought to play roles in fatty acid uptake, transport, and metabolism. FABP7 is a downstream gene of the Pax6 transcription factor and has been suggested to be essential for the maintenance of neuroepithelial cells during early cortical development. More recently, FABP7 was found to be frequently expressed in melanomas. Down-regulation of FABP7 through RNAi expression could reduce in vitro cell proliferation and Matrigel invasion, suggesting that FABP7 may be a potential target for the development of diagnostic and therapeutic tools.
Immunogen
FABP7 antibody was raised against a 17 amino acid synthetic peptide from near the center of human FABP7. The immunogen is located within the last 50 amino acids of FABP7.
Contents
FABP7 Antibody is supplied in PBS containing 0.02% sodium azide.
Purification
FABP7 Antibody is affinity chromatography purified via peptide column.
Concentration
1 mg/mL
Manufacturer - Research Category
Homeostasis
Protein Name
Fatty acid binding protein 7, brain
Protein Function
B-FABP could be involved in the transport of a so far
unknown hydrophobic ligand with potential morphogenic activity
during CNS development. It is required for the establishment of
the radial glial fiber system in developing brain, a system that
is necessary for the migration of immature neurons to establish
cortical layers (By similarity).
Subcellular Localization
Cytoplasm.
Description
Boster Bio Anti-FABP7 Antibody (Catalog # A02646). Tested in ELISA, WB, IHC-P applications. This antibody reacts with Human.
Tissue Specificity
Expressed in brain and other neural tissues.
Predicted Reactivity
Bovine, Chicken, Rat, Mouse

Note: The presented information and documents (Manual, Product Datasheet, Safety Datasheet and Certificate of Analysis) correspond to our latest update and should serve for orientational purpose only. We do not guarantee the topicality. We would kindly ask you to make a request for specific requirements, if necessary.

All products are intended for research use only (RUO). Not for human, veterinary or therapeutic use.

Amount: 0.1 mg
Available: In stock
available

Compare

Add to wishlist

Get an offer

Request delivery time

Ask a technical question

Submit a bulk request

Questions about this Product?