Comparison

Anti-Islet 1/ISL1 Antibody Picoband® European Partner

Item no. BOS-A02969-4
Manufacturer Boster
Amount 100 ug/vial
Quantity options 100 ug/vial 10 ug 100 ug 100 ug 100 ug 100 ug 100 ug 100 ug 100 ug 100 ug 100 ug 100 ug
Category
Type Antibody Polyclonal
Format Lyophilized
Applications WB, ELISA
Specific against Human (Homo sapiens)
Host Rabbit
Isotype IgG
Citations 1. Entrez Gene: ISL1 ISL1 transcription factor, LIM/homeodomain, (islet-1).
2. Gay F, Anglade I, Gong Z, Salbert G (October 2000). The LIM/homeodomain protein islet-1 modulates estrogen receptor functions. Mol. Endocrinol. 14 (10): 1627–48.
3. Tanizawa Y, Riggs AC, Dagogo-Jack S, Vaxillaire M, Froguel P, Liu L, Donis-Keller H, Permutt MA (July 1994). Isolation of the human LIM/homeodomain gene islet-1 and identification of a simple sequence repeat polymorphism [corrected]. Diabetes. 43 (7): 935–41.
ECLASS 10.1 32160702
ECLASS 11.0 32160702
UNSPSC 12352203
Available
Manufacturer - Category
Primary Antibodies
Storage Conditions
At -20°C for one year from date of receipt.
After reconstitution, at 4°C for one month. It can also be aliquotted and stored frozen at -20°C for six months.
Avoid repeated freezing and thawing.
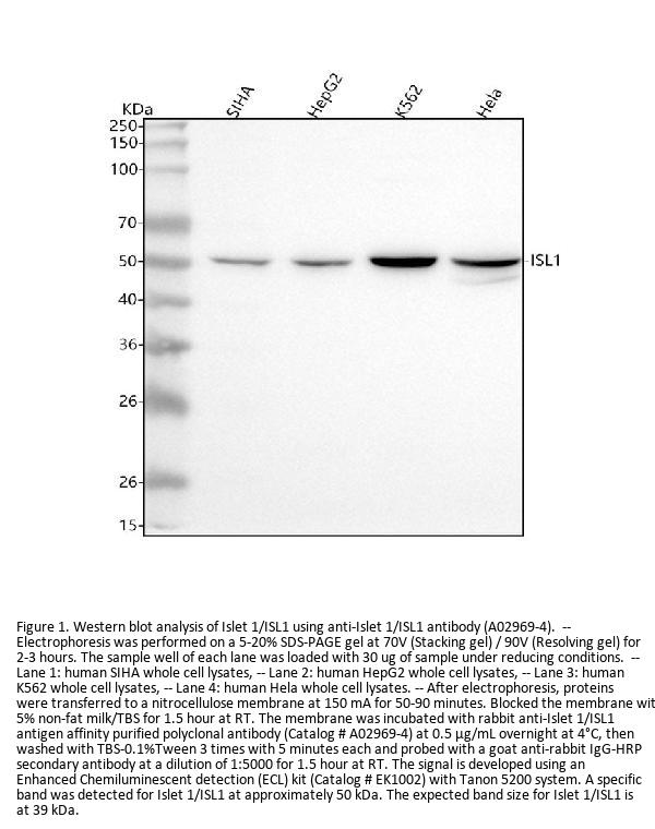
Observed Molecular weight
50 kDa
Clonality
Polyclonal
Application Details
Western blot, 0.25-0.5 μg/ml, Human
ELISA, 0.1-0.5 μg/ml
Gene Name
ISL1
Background
Insulin gene enhancer protein ISL-1 is a protein that in humans is encoded by the isl1 gene. This gene encodes a member of the LIM/homeodomain family of transcription factors. The encoded protein binds to the enhancer region of the insulin gene, among others, and may play an important role in regulating insulin gene expression. The encoded protein is central to the development of pancreatic cell lineages and may also be required for motor neuron generation. Mutations in this gene have been associated with maturity-onset diabetes of the young.
Immunogen
E.coli-derived human ISL1 recombinant protein (Position: D118-Q289). Human Islet 1/ISL1 shares 100% amino acid (aa) sequence identity with both mouse and rat ISL1.
Contents
Each vial contains 4 mg Trehalose, 0.9 mg NaCl, 0.2 mg Na2HPO4.
Purification
Immunogen affinity purified.
Reconstitution
Adding 0.2 ml of distilled water will yield a concentration of 500 μg/ml.
Concentration
Adding 0.2 ml of distilled water will yield a concentration of 500 μg/ml.
Description
Boster Bio Anti-Islet 1/ISL1 Antibody Picoband® catalog # A02969-4. Tested in WB, ELISA applications. This antibody reacts with Human. The brand Picoband indicates this is a premium antibody that guarantees superior quality, high affinity, and strong signals with minimal background in Western blot applications. Only our best-performing antibodies are designated as Picoband, ensuring unmatched performance.

Note: The presented information and documents (Manual, Product Datasheet, Safety Datasheet and Certificate of Analysis) correspond to our latest update and should serve for orientational purpose only. We do not guarantee the topicality. We would kindly ask you to make a request for specific requirements, if necessary.

All products are intended for research use only (RUO). Not for human, veterinary or therapeutic use.

Amount: 100 ug/vial
Available: In stock
available

Compare

Add to wishlist

Get an offer

Request delivery time

Ask a technical question

Submit a bulk request

Questions about this Product?