Comparison

Anti-IL23 Receptor/Il23r Antibody Picoband® European Partner

Item no. BOS-A00607-1
Manufacturer Boster
Amount 100 ug/vial
Quantity options 100 ug/vial 10 ug 100 ug 100 ug 100 ug 100 ug 100 ug 100 ug 100 ug 100 ug 100 ug 100 ug
Category
Type Antibody Polyclonal
Format Lyophilized
Applications WB, ELISA
Specific against Mouse (Murine, Mus musculus), Rat (Rattus norvegicus)
Host Rabbit
Isotype IgG
Citations 1. Duerr RH, Taylor KD, Brant SR, Rioux JD, Silverberg MS, Daly MJ, et al. (Dec 2006). A genome-wide association study identifies IL23R as an inflammatory bowel disease gene. Science. 314 (5804): 1461–3.
2. Momozawa Y, Mni M, Nakamura K, Coppieters W, Almer S, Amininejad L, et al. (Jan 2011). Resequencing of positional candidates identifies low frequency IL23R coding variants protecting against inflammatory bowel disease. Nature Genetics. 43 (1): 43–7.
ECLASS 10.1 32160702
ECLASS 11.0 32160702
UNSPSC 12352203
Alias Interleukin-23 receptor,IL-23 receptor,IL-23R,Il23r
Available
Manufacturer - Applications
ELISA (Cap), WB
Manufacturer - Category
Primary Antibodies
Storage Conditions
Store at -20°C for one year from date of receipt. After reconstitution, at 4°C for one month. It can also be aliquotted and stored frozen at -20°C for six months. Avoid repeated freeze-thaw cycles.
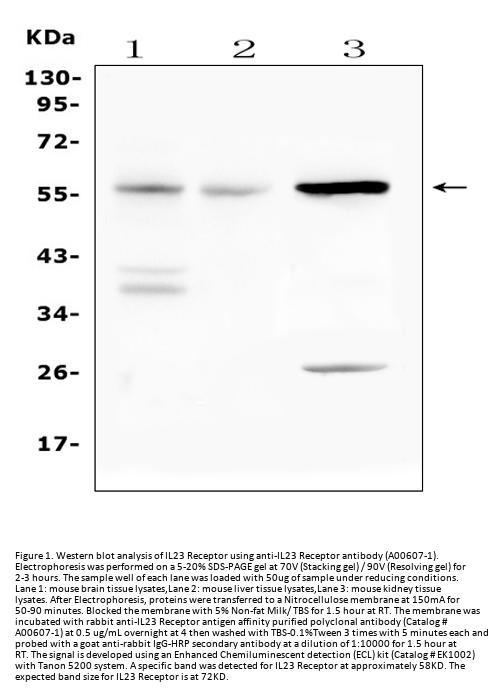
Observed Molecular weight
58 kDa
Clonality
Polyclonal
Application Details
Western blot, 0.1-0.5μg/ml
ELISA (Cap), 1-5μg/ml
Gene Name
Il23r
Gene Full Name
interleukin 23 receptor
Manufacturer - Specificity
No cross reactivity with other proteins.
Background
Interleukin 23 receptor is a type I cytokine receptor. IL23R is its human gene. The protein encoded by this gene is a subunit of the receptor for IL23A/IL23. This protein pairs with the receptor molecule IL12RB1/IL12Rbeta1, and both are required for IL23A signaling. This protein associates constitutively with Janus kinase 2 (JAK2), and also binds to transcription activator STAT3 in a ligand-dependent manner.
Immunogen
E. coli-derived mouse IL23 Receptor recombinant protein (Position: I25-D233).
Contents
Each vial contains 4mg Trehalose, 0.9mg NaCl, 0.2mg Na2HPO4, 0.05mg NaN3.
Purification
Immunogen affinity purified.
Reconstitution
Add 0.2ml of distilled water will yield a concentration of 500ug/ml.
Concentration
Adding 0.2 ml of distilled water will yield a concentration of 500 μg/ml.
Manufacturer - Research Category
Cell Type Markers, Cytokines, Epigenetics and Nuclear Signaling, Immunoglobulins, Immunology, Innate Immunity, Interleukins, Nuclear Signaling, Nuclear Signaling Pathways, Receptors, Signal Transduction, Signaling Pathway
Protein Function
Associates with IL12RB1 to form the interleukin-23 receptor. Binds IL23 and mediates T-cells, NK cells and possibly certain macrophage/myeloid cells stimulation probably through activation of the Jak-Stat signaling cascade. IL23 functions in innate and adaptive immunity and may participate in acute response to infection in peripheral tissues. IL23 may be responsible for autoimmune inflammatory diseases and be important for tumorigenesis (By similarity).
Subcellular Localization
Cell membrane; Single-pass type I membrane protein.
Description
Boster Bio Anti-IL23 Receptor/Il23r Antibody Picoband® catalog # A00607-1. Tested in ELISA, WB applications. This antibody reacts with Mouse, Rat. The brand Picoband indicates this is a premium antibody that guarantees superior quality, high affinity, and strong signals with minimal background in Western blot applications. Only our best-performing antibodies are designated as Picoband, ensuring unmatched performance.
Tissue Specificity
Expressed by Th1, Th2 and dendritic cells.
Manufacturer - Cross Reactivity
No cross-reactivity with other proteins.

Note: The presented information and documents (Manual, Product Datasheet, Safety Datasheet and Certificate of Analysis) correspond to our latest update and should serve for orientational purpose only. We do not guarantee the topicality. We would kindly ask you to make a request for specific requirements, if necessary.

All products are intended for research use only (RUO). Not for human, veterinary or therapeutic use.

Amount: 100 ug/vial
Available: In stock
available

Compare

Add to wishlist

Get an offer

Request delivery time

Ask a technical question

Submit a bulk request

Questions about this Product?