Comparison

ATG5 Recombinant Monoclonal Antibody

Item no. CSB-RA050869A0HU-100ul
Manufacturer Cusabio
Amount 100 ul
Quantity options 100 ul 50 ul
Category
Type Antibody Monoclonal
Format Liquid
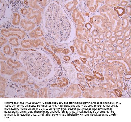
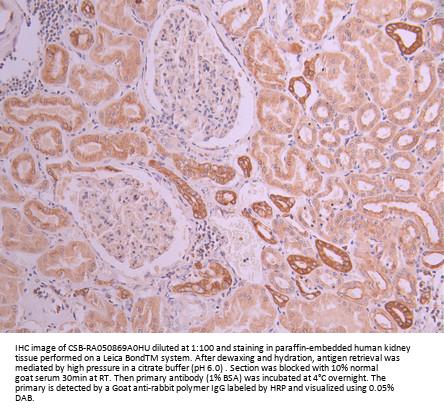
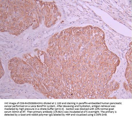
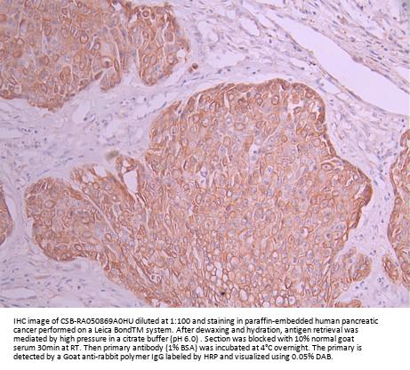
Applications WB, FC, IHC, ELISA
Clone 5E10
Specific against Human (Homo sapiens), Mouse (Murine, Mus musculus)
Host Rabbit
Isotype IgG
Conjugate/Tag Unconjugated
ECLASS 10.1 42030590
ECLASS 11.0 42030590
UNSPSC 12352203
Alias Autophagy protein 5 (APG5-like) (Apoptosis-specific protein),ATG5,APG5L ASP
Available
Manufacturer - Type
Recombinant Antibody
Manufacturer - Applications
ELISA, WB, IHC, FC; Recommended dilution: WB:1:500-1:2000, IHC:1:50-1:200, FC:1:50-1:200
Manufacturer - Isotype
Rabbit IgG
Storage Conditions
Upon receipt, store at -20°C or -80°C. Avoid repeated freeze.
Buffer
Rabbit IgG in 10mM phosphate buffered saline , pH 7.4, 150mM sodium chloride, 0.05% BSA, 0.02% sodium azide and 50% glycerol.
Purification Method
Affinity-chromatography
Antigen Species
Human
Antigen
A synthesized peptide from human ATG5 protein
Clonality
Monoclonal

Note: The presented information and documents (Manual, Product Datasheet, Safety Datasheet and Certificate of Analysis) correspond to our latest update and should serve for orientational purpose only. We do not guarantee the topicality. We would kindly ask you to make a request for specific requirements, if necessary.

All products are intended for research use only (RUO). Not for human, veterinary or therapeutic use.

Amount: 100 ul
Available: In stock
available

Compare

Add to wishlist

Get an offer

Request delivery time

Ask a technical question

Submit a bulk request

Questions about this Product?
 
Close