Comparison

Anti-RTEL1 (N-term) Antibody

Item no. 119-12836
Manufacturer Raybiotech
Amount 50 ug
Category
Type Antibody Polyclonal
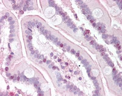
Applications WB, ELISA, IHC-P
Specific against Human (Homo sapiens), Mouse (Murine, Mus musculus)
Host Rabbit
Purity Immunoaffinity Chromatography
ECLASS 10.1 32160702
ECLASS 11.0 32160702
UNSPSC 12352203
Alias RTEL1,BK3184A7.3,DKFZP434C013,Novel helicase-like,KIAA1088,Regulator of telomere length,RTEL,NHL,C20orf41
Similar products RTEL1
Shipping Condition Cool pack
Available
Manufacturer - Applications
ELISA (1 µ, g/ml), IHC-P (5 µ, g/ml), Western Blotting (1 µ, g/ml)
Manufacturer - Category
Antibodies|Primary Antibodies
Shipping Temperature
Blue ice
Storage Conditions
-20°C
Description
RTEL1 Rabbit anti-Human Polyclonal (N-Terminus) (Unconjugated) Antibody, (50 ug)
Gene Symbols
RTEL1
UNSPSC Code
12352203
Formulation
PBS, 0.01% sodium azide, 50% glycerol.
Protein Name & Synonyms
RTEL1 (N-Terminus)
Manufacturer - Format
PBS, 0.01% sodium azide, 50% glycerol.
Purification
Immunoaffinity Chromatography
Concentration
0.5 mg/ml
Expiration
12 months from the date of shipment when stored properly.
Immunogen
Synthetic peptide from human RTEL1.
Gene Family
TNF Receptor
Domain/Region/Terminus
N-Terminus

Note: The presented information and documents (Manual, Product Datasheet, Safety Datasheet and Certificate of Analysis) correspond to our latest update and should serve for orientational purpose only. We do not guarantee the topicality. We would kindly ask you to make a request for specific requirements, if necessary.

All products are intended for research use only (RUO). Not for human, veterinary or therapeutic use.

Amount: 50 ug
Available: In stock
available

Compare

Add to wishlist

Get an offer

Request delivery time

Ask a technical question

Submit a bulk request

Questions about this Product?
 
Close