Comparison

Anti-MAP1LC3B Antibody

Item no. 144-07198-100
Manufacturer Raybiotech
Amount 100 uL
Quantity options 100 uL 20 uL
Category
Type Antibody
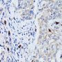
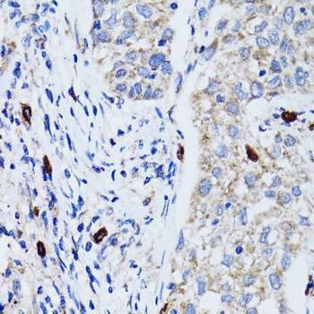
Applications WB, IF, IHC
Specific against Human (Homo sapiens), Mouse (Murine, Mus musculus), Rat (Rattus norvegicus)
Host Rabbit
Isotype IgG
Conjugate/Tag Unconjugated
Purity Affinity purification
ECLASS 10.1 32160702
ECLASS 11.0 32160702
UNSPSC 12352203
Shipping Condition Cool pack
Available
Manufacturer - Category
Antibodies|Primary Antibodies
Shipping Temperature
Blue ice
Storage Conditions
-20°C
Molecular Weight
14kDa, 16kDa
Description
MAP1LC3B Polyclonal Antibody
Gene Symbols
MAP1LC3B
UNSPSC Code
12352203
Protein Name & Synonyms
MAP1LC3B, ATG8F, LC3B, MAP1A/1BLC3, MAP1LC3B-a, microtubule associated protein 1 light chain 3 beta
Recommended Dilution
WB 1:500 - 1:2000IHC 1:50 - 1:200IF 1:50 - 1:200
Buffers
PBS with 0.09% sodium azide, 50% glycerol, pH 7.3
Expiration
12 months from the date of shipment when stored properly.
Clonality
Polyclonal
Calculated MW
14kDa

Note: The presented information and documents (Manual, Product Datasheet, Safety Datasheet and Certificate of Analysis) correspond to our latest update and should serve for orientational purpose only. We do not guarantee the topicality. We would kindly ask you to make a request for specific requirements, if necessary.

All products are intended for research use only (RUO). Not for human, veterinary or therapeutic use.

Amount: 100 uL
Available: In stock
available

Compare

Add to wishlist

Get an offer

Request delivery time

Ask a technical question

Submit a bulk request

Questions about this Product?
 
Close