Comparison

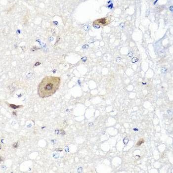
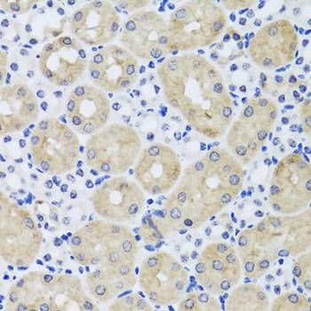
Rabbit anti-FGF13 Antibody

Item no. 144-07895-50
Manufacturer Raybiotech
Amount 50 ul
Quantity options 100 uL 200 ul 50 ul
Category
Type Antibody
Applications WB, IHC
Specific against Human (Homo sapiens), Mouse (Murine, Mus musculus), Rat (Rattus norvegicus)
Host Hamster - Armenian
Isotype IgG
Conjugate/Tag Unconjugated
Purity Affinity purification
ECLASS 10.1 32160702
ECLASS 11.0 32160702
UNSPSC 12352203
Available
Molecular Weight
28kDa
Gene Symbols
FGF13
Protein Name & Synonyms
FGF13, FGF-13, FGF2, FHF-2, FHF2, fibroblast growth factor 13
Recommended Dilution
WB1:500 - 1:2000IHC1:50 - 1:200
Buffers
PBS with 0.02% sodium azide, 50% glycerol, pH7.3.
Expiration
12 months from the date of shipment when stored properly.
Clonality
Polyclonal
Calculated MW
21kDa/22kDa/25kDa/27kDa/28kDa

Note: The presented information and documents (Manual, Product Datasheet, Safety Datasheet and Certificate of Analysis) correspond to our latest update and should serve for orientational purpose only. We do not guarantee the topicality. We would kindly ask you to make a request for specific requirements, if necessary.

All products are intended for research use only (RUO). Not for human, veterinary or therapeutic use.

 
Close