Comparison

Anti-CD20 Antibody

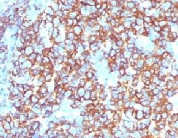
Item no. 188-11468-IHC
Manufacturer Raybiotech
Amount 7 ml
Quantity options 7 ml 7 ml
Category
Type Antibody
Applications IHC
Specific against Human (Homo sapiens)
Host Rabbit
Isotype IgG
Purity Protein A affinity chromatography
ECLASS 10.1 32160702
ECLASS 11.0 32160702
UNSPSC 12352203
Shipping Condition Cool pack
Available
Manufacturer - Applications
Prediluted IHC only format: incubate for 30 min at RT (1)
Manufacturer - Category
Antibodies|Primary Antibodies
Shipping Temperature
Blue ice
Storage Conditions
≤-20°C
Description
Rabbit anti-Human Recombinant CD20 Antibody [IHC only]
Gene Symbols
MS4A1, CD20
UNSPSC Code
12352203
Protein Name & Synonyms
B-lymphocyte antigen CD20 (B-lymphocyte surface antigen B1) (Bp35) (Leukocyte surface antigen Leu-16) (Membrane-spanning 4-domains subfamily A member 1) (CD antigen CD20)
Concentration
Prediluted in 1X PBS, 0.1 mg/ml BSA (US sourced), 0.05% sodium azide, *For IHC use only*
Manufacturer - Specificity
Other species not known
Species Detected
Human. Other species not known.
Expiration
12 months from the date of shipment when stored properly.
Preparation
Full length human CD20 protein was used as the immunogen for this reccombinant CD20 antibody.
Immunogen
Full length human CD20 protein was used as the immunogen for this reccombinant CD20 antibody.
Domain/Region/Terminus
Predominantly cell surface with some cytoplasmic

Note: The presented information and documents (Manual, Product Datasheet, Safety Datasheet and Certificate of Analysis) correspond to our latest update and should serve for orientational purpose only. We do not guarantee the topicality. We would kindly ask you to make a request for specific requirements, if necessary.

All products are intended for research use only (RUO). Not for human, veterinary or therapeutic use.

Amount: 7 ml
Available: In stock
available

Compare

Add to wishlist

Get an offer

Request delivery time

Ask a technical question

Submit a bulk request

Questions about this Product?
 
Close