Comparison

Anti-Angiotensinogen Antibody, Rabbit Polyclonal European Partner

Item no. 10994-RP02-200
Manufacturer Sino Biological
Amount 200 uL
Quantity options 100 uL 200 uL 50 uL
Category
Type Antibody Polyclonal
Applications IHC, ELISA
Specific against Human (Homo sapiens)
Host Rabbit
Isotype IgG
ECLASS 10.1 32160702
ECLASS 11.0 32160702
UNSPSC 12352203
Alias sino
Available
Storage Conditions
This antibody can be stored at 2C-8C for one month without detectable loss of activity. Antibody products are stable for twelve months from date of receipt when stored at -20C to -80C. Preservative-Free. Sodium azide is recommended to avoid contamination (final concentration 0.05%-0.1%). It is toxic to cells and should be disposed of properly. Avoid repeated freeze-thaw cycles.
Antigen molecule name
AGT
Immunogen
Recombinant Human SerpinA8 protein (Catalog#10994-H08H)
Purification
Protein A and Antigen Affinity
Preparation
Produced in rabbits immunized with purified, recombinant Human SerpinA8 / angiotensinogen (rh SerpinA8; Catalog#10994-H08H; NP_000020.1; Met 1-Ala 485). SerpinA8 specific IgG was purified by human Serpin A8 affinity chromatography.
Specificity
Human Serpin A8 / Angiotensinogen
Buffer
0.2 um filtered solution in PBS with 5% trehalose
ELISA
This antibody can be used at 0.5-1.0 ug/mL with the appropriate secondary reagents to detect Human SerpinA8. The detection limit for Human SerpinA8 is 0.00245 ng/well.
Recommended ELISA Concentration
ELISA: 0.5-1.0 ug/mL
Recommended IHC-P Concentration
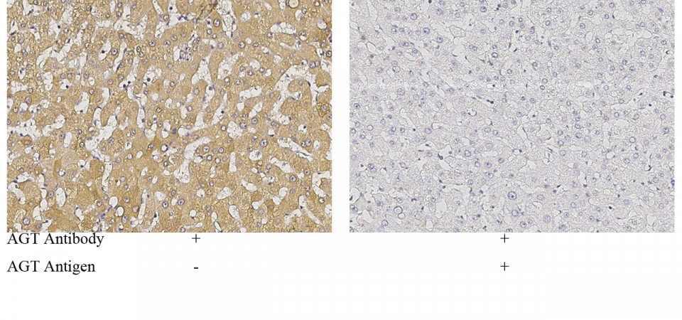
IHC-P: 0.1-2 ug/mL

Note: The presented information and documents (Manual, Product Datasheet, Safety Datasheet and Certificate of Analysis) correspond to our latest update and should serve for orientational purpose only. We do not guarantee the topicality. We would kindly ask you to make a request for specific requirements, if necessary.

All products are intended for research use only (RUO). Not for human, veterinary or therapeutic use.

Amount: 200 uL
Available: In stock
available

Compare

Add to wishlist

Get an offer

Request delivery time

Ask a technical question

Submit a bulk request

Questions about this Product?
 
Close