Comparison

Recombinant Anti-CEACAM-5/CD66e Antibody, Rabbit Monoclonal European Partner

Item no. 11077-R327-50
Manufacturer Sino Biological
Amount 50 uL
Quantity options 100 uL 50 uL
Category
Type Antibody Monoclonal
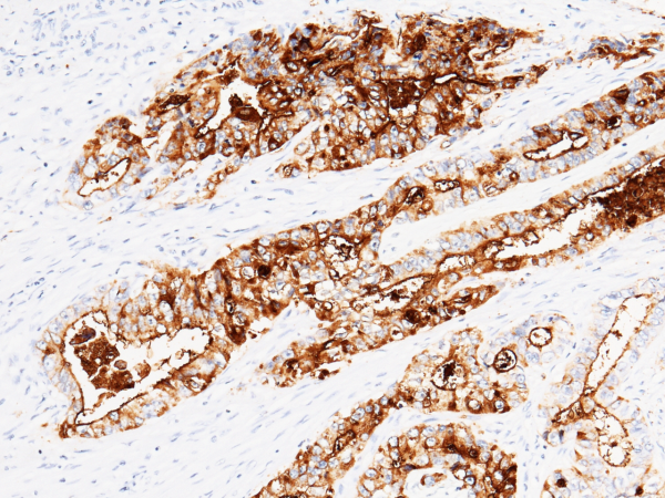
Applications IHC
Clone 327
Specific against Human (Homo sapiens)
Host Rabbit
Isotype IgG
Protein Family Mab
ECLASS 10.1 42030590
ECLASS 11.0 42030590
UNSPSC 12352203
Alias 11077-R327
Similar products CEACAM5
Available
Storage Conditions
This antibody can be stored at 2C-8C for one month without detectable loss of activity. Antibody products are stable for twelve months from date of receipt when stored at -20C to -80C. Preservative-Free. Sodium azide is recommended to avoid contamination (final concentration 0.05%-0.1%). It is toxic to cells and should be disposed of properly. Avoid repeated freeze-thaw cycles.
Antigen molecule name
CEACAM5
Immunogen
Recombinant Human CEACAM5 / CD66e protein (Catalog#11077-H08H)
Purification
Protein A
Preparation
This antibody was obtained from a rabbit immunized with purified, recombinant Human CEACAM5 / CD66e (rh CEACAM5 / CD66e; Catalog#11077-H08H; NP_004354.2; Met1-Ala685).
Specificity
Human CEACAM5 / CD66e
Buffer
0.2 um filtered solution in PBS with 5% trehalose
Recommended IHC-P Concentration
IHC-P: 1-10 ug/mL

Note: The presented information and documents (Manual, Product Datasheet, Safety Datasheet and Certificate of Analysis) correspond to our latest update and should serve for orientational purpose only. We do not guarantee the topicality. We would kindly ask you to make a request for specific requirements, if necessary.

All products are intended for research use only (RUO). Not for human, veterinary or therapeutic use.

Amount: 50 uL
Available: In stock
available

Compare

Add to wishlist

Get an offer

Request delivery time

Ask a technical question

Submit a bulk request

Questions about this Product?
 
Close