Comparison

ACOX1 / AOX Antibody, Mouse MAb European Partner

Item no. 11266-MM09-200
Manufacturer Sino Biological
Amount 200 ug
Quantity options 100 ug 200 ug 50 ug
Category
Type Antibody Monoclonal
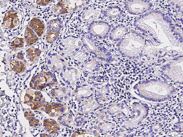
Applications IHC
Clone 09
Specific against Human (Homo sapiens)
Host Mouse
Isotype IgG1
ECLASS 10.1 42030590
ECLASS 11.0 42030590
UNSPSC 12352203
Alias sino
Available
Storage Conditions
This antibody can be stored at 2C-8C for one month without detectable loss of activity. Antibody products are stable for twelve months from date of receipt when stored at -20C to -80C. Preservative-Free. Sodium azide is recommended to avoid contamination (final concentration 0.05%-0.1%). It is toxic to cells and should be disposed of properly. Avoid repeated freeze-thaw cycles.
Antigen molecule name
ACOX1
Immunogen
Recombinant Human ACOX1 / AOX protein (Catalog#11266-H07B)
Purification
Protein A
Preparation
This antibody was produced from a hybridoma resulting from the fusion of a mouse myeloma with B cells obtained from a mouse immunized with purified, recombinant Human ACOX1 / AOX (rh ACOX1 / AOX; Catalog#11266-H07B; AAH08767.1; Met1-Leu660). The IgG fraction of the cell culture supernatant was purified by Protein A affinity chromatography.
Specificity
Human ACOX1 / AOX
Buffer
0.2 um filtered solution in PBS with 5% trehalose
Recommended IHC-P Concentration
IHC-P: 20-30 ug/mL

Note: The presented information and documents (Manual, Product Datasheet, Safety Datasheet and Certificate of Analysis) correspond to our latest update and should serve for orientational purpose only. We do not guarantee the topicality. We would kindly ask you to make a request for specific requirements, if necessary.

All products are intended for research use only (RUO). Not for human, veterinary or therapeutic use.

Amount: 200 ug
Available: In stock
available

Compare

Add to wishlist

Get an offer

Request delivery time

Ask a technical question

Submit a bulk request

Questions about this Product?
 
Close