Comparison

Anti-C1D Antibody, Rabbit Polyclonal European Partner

Item no. 12432-RP02-100
Manufacturer Sino Biological
Amount 100 uL
Quantity options 100 uL 200 uL 50 uL
Category
Type Antibody Polyclonal
Applications WB, IP, IHC, ELISA
Specific against Human (Homo sapiens)
Host Rabbit
Isotype IgG
ECLASS 10.1 32160702
ECLASS 11.0 32160702
UNSPSC 12352203
Alias 12432-RP02
Similar products C1D
Available
Manufacturer - Type
Antibody
Storage Conditions
This antibody can be stored at 2C-8C for one month without detectable loss of activity. Antibody products are stable for twelve months from date of receipt when stored at -20C to -80C. Preservative-Free. Sodium azide is recommended to avoid contamination (final concentration 0.05%-0.1%). It is toxic to cells and should be disposed of properly. Avoid repeated freeze-thaw cycles.
Antigen molecule name
C1D
Immunogen
Recombinant Human C1D protein (Catalog#12432-H09E)
Purification
Protein A and Antigen Affinity
Preparation
Produced in rabbits immunized with purified, recombinant Human C1D (rh C1D; Catalog#12432-H09E; Q13901; Met 1-Ser 141). C1D specific IgG was purified by Human C1D affinity chromatography.
Specificity
Human C1D
Buffer
0.2 um filtered solution in PBS with 5% trehalose
ELISA
This antibody can be used at 0.1-0.2 ug/mL with the appropriate secondary reagents to detect Human C1D. The detection limit for Human C1D is approximately 0.00245 ng/well.
Recommended ELISA Concentration
ELISA: 0.1-0.2 ug/mL
Recommended WB Concentration
WB: 2-5 ug/mL
Recommended IP Concentration
IP: 4-6 ug/mg of lysate
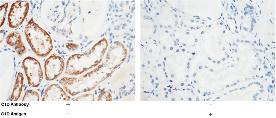
Recommended IHC-P Concentration
IHC-P: 0.1-2 ug/mL

Note: The presented information and documents (Manual, Product Datasheet, Safety Datasheet and Certificate of Analysis) correspond to our latest update and should serve for orientational purpose only. We do not guarantee the topicality. We would kindly ask you to make a request for specific requirements, if necessary.

All products are intended for research use only (RUO). Not for human, veterinary or therapeutic use.

Amount: 100 uL
Available: In stock
available

Compare

Add to wishlist

Get an offer

Request delivery time

Ask a technical question

Submit a bulk request

Questions about this Product?
 
Close