Comparison

Anti-Phospho-NFKBIA-Tyr305 antibody (268-317 aa) (STJ90912) European Partner

Item no. STJ90912-200
Manufacturer St John's Laboratory
Amount 200 ug
Quantity options 100 ug 20 ug 200 ug 50 ug
Category
Type Antibody Polyclonal
Format Liquid
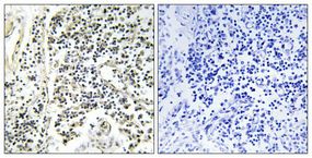
Applications WB, IF, IHC, ELISA
Specific against Human (Homo sapiens), Mouse (Murine, Mus musculus), Rat (Rattus norvegicus), Monkey (Cynomolgus, Simian)
Host Rabbit
Isotype IgG
Conjugate/Tag Unconjugated
ECLASS 10.1 32160702
ECLASS 11.0 32160702
UNSPSC 12352203
Alias Anti-Nf-Kappa-B Inhibitor Alpha antibody, Anti-I-Kappa-B-Alpha antibody, Anti-Ikb-Alpha antibody, Anti-Ikappabalpha antibody, Anti-Major Histocompatibility Complex Enhancer-Binding Protein Mad3 antibody, Anti-NFKBIA IKBA MAD3 NFKBI antibody
Similar products Anti-Nf-Kappa-B Inhibitor Alpha antibody
Anti-I-Kappa-B-Alpha antibody
Anti-Ikb-Alpha antibody
Anti-Ikappabalpha antibody
Anti-Major Histocompatibility Complex Enhancer-Binding Protein Mad3 antibody
Anti-NFKBIA IKBA MAD3 NFKBI antibody
Available
Manufacturer - Type
Primary antibodies
Manufacturer - Targets
NFKBIA
Storage Conditions
Store at-20°C for up to 1 year from the date of receipt, and avoid repeat freeze-thaw cycles.
Formulation
Liquid in PBS containing 50% Glycerol, 0.5% BSA and 0.02% Sodium Azide.
Concentration
1 mg/mL
Purification
The antibody was affinity-purified from rabbit antiserum by affinity-chromatography using epitope-specific immunogen.
Immunogen
The antiserum was produced against synthesized peptide derived from the human IkappaB-alpha around the phosphorylation site of Tyr305 at the amino acid range 268-317
Clonality
Polyclonal
Gene symbol
NFKBIA
Dilution range
WB 1:500-1:2000
IHC 1:100-1:300
ELISA 1:5000
IF 1:50-200
Note
STRICTLY FOR FURTHER SCIENTIFIC RESEARCH USE ONLY (RUO). MUST NOT TO BE USED IN DIAGNOSTIC OR THERAPEUTIC APPLICATIONS.
Immunogen Region
268-317 aa
Manufacturer - Specificity
Phospho-I Kappa B-Alpha (Y305) Polyclonal Antibody detects endogenous levels of I Kappa B-Alpha protein only when phosphorylated at Y305.

Note: The presented information and documents (Manual, Product Datasheet, Safety Datasheet and Certificate of Analysis) correspond to our latest update and should serve for orientational purpose only. We do not guarantee the topicality. We would kindly ask you to make a request for specific requirements, if necessary.

All products are intended for research use only (RUO). Not for human, veterinary or therapeutic use.

Amount: 200 ug
Available: In stock
available

Compare

Add to wishlist

Get an offer

Request delivery time

Ask a technical question

Submit a bulk request

Questions about this Product?
 
Close