Comparison

Anti-HSP90AB1 antibody (226-275 aa) (STJ93609) European Partner

Item no. STJ93609-100
Manufacturer St John's Laboratory
Amount 100 ug
Quantity options 100 ug 20 ug 200 ug 50 ug
Category
Type Antibody Polyclonal
Format Liquid
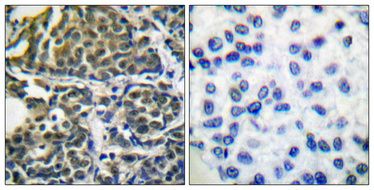
Applications WB, IF, IP, IHC, ELISA
Specific against Human (Homo sapiens), Mouse (Murine, Mus musculus), Rat (Rattus norvegicus), Monkey (Cynomolgus, Simian)
Host Rabbit
Isotype IgG
Conjugate/Tag Unconjugated
ECLASS 10.1 32160702
ECLASS 11.0 32160702
UNSPSC 12352203
Alias Anti-Heat Shock Protein Hsp 90-Beta antibody, Anti-Hsp 90 antibody, Anti-Heat Shock 84 Kda antibody, Anti-Hsp 84 antibody, Anti-Hsp84 antibody, Anti-HSP90AB1 HSP90B HSPC2 HSPCB antibody
Similar products Anti-Heat Shock Protein Hsp 90-Beta antibody
Anti-Hsp 90 antibody
Anti-Heat Shock 84 Kda antibody
Anti-Hsp 84 antibody
Anti-Hsp84 antibody
Anti-HSP90AB1 HSP90B HSPC2 HSPCB antibody
Available
Manufacturer - Type
Primary antibodies
Manufacturer - Targets
HSP90AB1
Storage Conditions
Store at-20°C for up to 1 year from the date of receipt, and avoid repeat freeze-thaw cycles.
Formulation
Liquid in PBS containing 50% Glycerol, 0.5% BSA and 0.02% Sodium Azide.
Concentration
1 mg/mL
Purification
The antibody was affinity-purified from rabbit antiserum by affinity-chromatography using epitope-specific immunogen.
Immunogen
The antiserum was produced against synthesized peptide derived from the human HSP90B at the amino acid range 226-275
Clonality
Polyclonal
Gene symbol
HSP90AB1
Dilution range
WB 1:500-1:2000
IHC 1:100-1:300
IP 2-5 ug mg/lysate
IF 1:200-1:1000
ELISA 1:40000
Note
STRICTLY FOR FURTHER SCIENTIFIC RESEARCH USE ONLY (RUO). MUST NOT TO BE USED IN DIAGNOSTIC OR THERAPEUTIC APPLICATIONS.
Immunogen Region
226-275 aa
Manufacturer - Specificity
HSP90 Beta Polyclonal Antibody detects endogenous levels of HSP90 Beta protein.

Note: The presented information and documents (Manual, Product Datasheet, Safety Datasheet and Certificate of Analysis) correspond to our latest update and should serve for orientational purpose only. We do not guarantee the topicality. We would kindly ask you to make a request for specific requirements, if necessary.

All products are intended for research use only (RUO). Not for human, veterinary or therapeutic use.

Amount: 100 ug
Available: In stock
available

Delivery expected until 11/27/2025 

Compare

Add to wishlist

Get an offer

Request delivery time

Ask a technical question

Submit a bulk request

Questions about this Product?
 
Close