Comparison

Anti-Phospho-Abl1/2-Tyr393/439 antibody (361-410 aa) (STJ90779) European Partner

Item no. STJ90779-100
Manufacturer St John's Laboratory
Amount 100 ug
Quantity options 100 ug 20 ug 200 ug 50 ug
Category
Type Antibody Polyclonal
Format Liquid
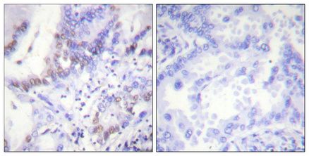
Applications WB, IF, IHC, ELISA
Specific against Human (Homo sapiens), Mouse (Murine, Mus musculus), Monkey (Cynomolgus, Simian)
Host Rabbit
Isotype IgG
Conjugate/Tag Unconjugated
ECLASS 10.1 32160702
ECLASS 11.0 32160702
UNSPSC 12352203
Alias Anti-Tyrosine-Protein Kinase Abl1 antibody, Anti-Abelson Murine Leukemia Viral Oncogene Homolog 1 antibody, Anti-Abelson Tyrosine-Protein Kinase 1 antibody, Anti-Proto-Oncogene C-Abl antibody, Anti-P150 antibody, Anti-ABL1 ABL JTK7 antibody
Similar products Anti-Tyrosine-Protein Kinase Abl1 antibody
Anti-Abelson Murine Leukemia Viral Oncogene Homolog 1 antibody
Anti-Abelson Tyrosine-Protein Kinase 1 antibody
Anti-Proto-Oncogene C-Abl antibody
Anti-P150 antibody
Anti-ABL1 ABL JTK7 antibody
Available
Manufacturer - Type
Primary antibodies
Manufacturer - Targets
ABL1/ABL2
Storage Conditions
Store at-20°C for up to 1 year from the date of receipt, and avoid repeat freeze-thaw cycles.
Formulation
Liquid in PBS containing 50% Glycerol, 0.5% BSA and 0.02% Sodium Azide.
Concentration
1 mg/mL
Purification
The antibody was affinity-purified from rabbit antiserum by affinity-chromatography using epitope-specific immunogen.
Immunogen
The antiserum was produced against synthesized peptide derived from the human Abl around the phosphorylation site of Tyr412 at the amino acid range 361-410
Clonality
Polyclonal
Gene symbol
ABL1/ABL2
Dilution range
WB 1:500-1:2000
IHC 1:100-1:300
ELISA 1:10000
IF 1:50-200
Note
STRICTLY FOR FURTHER SCIENTIFIC RESEARCH USE ONLY (RUO). MUST NOT TO BE USED IN DIAGNOSTIC OR THERAPEUTIC APPLICATIONS.
Immunogen Region
361-410 aa
Manufacturer - Specificity
Phospho-Abl1/2 (Y393/439) Polyclonal Antibody detects endogenous levels of Abl1/2 protein only when phosphorylated at Y393/439.

Note: The presented information and documents (Manual, Product Datasheet, Safety Datasheet and Certificate of Analysis) correspond to our latest update and should serve for orientational purpose only. We do not guarantee the topicality. We would kindly ask you to make a request for specific requirements, if necessary.

All products are intended for research use only (RUO). Not for human, veterinary or therapeutic use.

Amount: 100 ug
Available: In stock
available

Compare

Add to wishlist

Get an offer

Request delivery time

Ask a technical question

Submit a bulk request

Questions about this Product?
 
Close