Comparison

Anti-Phospho-CEBPB-Thr235 antibody (201-250 aa) (STJ90200) European Partner

Item no. STJ90200-50
Manufacturer St John's Laboratory
Amount 50 ug
Quantity options 100 ug 20 ug 200 ug 50 ug
Category
Type Antibody Polyclonal
Format Liquid
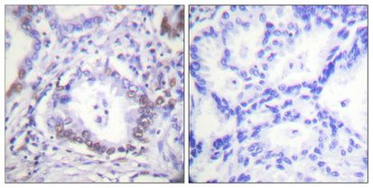
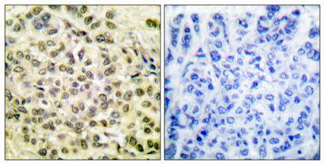
Applications WB, IF, IHC, ELISA
Specific against Human (Homo sapiens), Mouse (Murine, Mus musculus), Rat (Rattus norvegicus)
Host Rabbit
Isotype IgG
Conjugate/Tag Unconjugated
ECLASS 10.1 32160702
ECLASS 11.0 32160702
UNSPSC 12352203
Alias Anti-Ccaat/Enhancer-Binding Protein Beta antibody, Anti-C/Ebp Beta antibody, Anti-Liver Activator Protein antibody, Anti-Lap antibody, Anti-Liver-Enriched Inhibitory Protein antibody, Anti-Lip antibody, Anti-Nuclear Factor Nf-Il6 antibody, Anti-Transcription Factor 5 antibody, Anti-Tcf-5 antibody, Anti-CEBPB TCF5 PP9092 antibody
Similar products Anti-Ccaat/Enhancer-Binding Protein Beta antibody
Anti-C/Ebp Beta antibody
Anti-Liver Activator Protein antibody
Anti-Lap antibody
Anti-Liver-Enriched Inhibitory Protein antibody
Anti-Lip antibody
Anti-Nuclear Factor Nf-Il6 antibod
Available
Manufacturer - Type
Primary antibodies
Manufacturer - Targets
CEBPB
Storage Conditions
Store at-20°C for up to 1 year from the date of receipt, and avoid repeat freeze-thaw cycles.
Formulation
Liquid in PBS containing 50% Glycerol, 0.5% BSA and 0.02% Sodium Azide.
Concentration
1 mg/mL
Purification
The antibody was affinity-purified from rabbit antiserum by affinity-chromatography using epitope-specific immunogen.
Immunogen
The antiserum was produced against synthesized peptide derived from the human C/EBP-beta around the phosphorylation site of Thr235/188 at the amino acid range 201-250
Clonality
Polyclonal
Gene symbol
CEBPB
Dilution range
WB 1:500-1:2000
IHC 1:100-1:300
IF 1:200-1:1000
ELISA 1:10000
Note
STRICTLY FOR FURTHER SCIENTIFIC RESEARCH USE ONLY (RUO). MUST NOT TO BE USED IN DIAGNOSTIC OR THERAPEUTIC APPLICATIONS.
Immunogen Region
201-250 aa
Manufacturer - Specificity
Phospho-C/EBP Beta (T235) Polyclonal Antibody detects endogenous levels of C/EBP Beta protein only when phosphorylated at T235.

Note: The presented information and documents (Manual, Product Datasheet, Safety Datasheet and Certificate of Analysis) correspond to our latest update and should serve for orientational purpose only. We do not guarantee the topicality. We would kindly ask you to make a request for specific requirements, if necessary.

All products are intended for research use only (RUO). Not for human, veterinary or therapeutic use.

Amount: 50 ug
Available: In stock
available

Delivery expected until 12/4/2025 

Compare

Add to wishlist

Get an offer

Request delivery time

Ask a technical question

Submit a bulk request

Questions about this Product?
 
Close