Comparison

Anti-Phospho-ACACA-Ser80 antibody (46-95 aa) (STJ90755) European Partner

Item no. STJ90755-100
Manufacturer St John's Laboratory
Amount 100 ug
Quantity options 100 ug 20 ug 200 ug 50 ug
Category
Type Antibody Polyclonal
Format Liquid
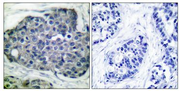
Applications WB, IF, IHC, ELISA
Specific against Human (Homo sapiens), Mouse (Murine, Mus musculus), Rat (Rattus norvegicus)
Host Rabbit
Isotype IgG
Conjugate/Tag Unconjugated
ECLASS 10.1 32160702
ECLASS 11.0 32160702
UNSPSC 12352203
Alias Anti-Acetyl-Coa Carboxylase 1 antibody, Anti-Acc1 antibody, Anti-Acetyl-Coenzyme A Carboxylase Alpha antibody, Anti-Acc-Alpha antibody, Anti-ACACA ACAC ACC1 ACCA antibody
Similar products Anti-Acetyl-Coa Carboxylase 1 antibody
Anti-Acc1 antibody
Anti-Acetyl-Coenzyme A Carboxylase Alpha antibody
Anti-Acc-Alpha antibody
Anti-ACACA ACAC ACC1 ACCA antibody
Available
Manufacturer - Type
Primary antibodies
Manufacturer - Targets
ACACA
Storage Conditions
Store at-20°C for up to 1 year from the date of receipt, and avoid repeat freeze-thaw cycles.
Formulation
Liquid in PBS containing 50% Glycerol, 0.5% BSA and 0.02% Sodium Azide.
Concentration
1 mg/mL
Purification
The antibody was affinity-purified from rabbit antiserum by affinity-chromatography using epitope-specific immunogen.
Immunogen
The antiserum was produced against synthesized peptide derived from the human Acetyl-CoA Carboxylase around the phosphorylation site of Ser80 at the amino acid range 46-95
Clonality
Polyclonal
Gene symbol
ACACA
Dilution range
WB 1:500-1:2000
IHC 1:100-1:300
ELISA 1:5000
IF 1:50-200
Note
STRICTLY FOR FURTHER SCIENTIFIC RESEARCH USE ONLY (RUO). MUST NOT TO BE USED IN DIAGNOSTIC OR THERAPEUTIC APPLICATIONS.
Immunogen Region
46-95 aa
Manufacturer - Specificity
Phospho-ACC Alpha (S80) Polyclonal Antibody detects endogenous levels of ACC Alpha protein only when phosphorylated at S80.

Note: The presented information and documents (Manual, Product Datasheet, Safety Datasheet and Certificate of Analysis) correspond to our latest update and should serve for orientational purpose only. We do not guarantee the topicality. We would kindly ask you to make a request for specific requirements, if necessary.

All products are intended for research use only (RUO). Not for human, veterinary or therapeutic use.

Amount: 100 ug
Available: In stock
available

Delivery expected until 1/15/2026 

Compare

Add to wishlist

Get an offer

Request delivery time

Ask a technical question

Submit a bulk request

Questions about this Product?
 
Close