Comparison

Anti-Phospho-LYN-Tyr508 antibody (463-512 aa) (STJ90764) European Partner

Item no. STJ90764-200
Manufacturer St John's Laboratory
Amount 200 ug
Quantity options 100 ug 20 ug 200 ug 50 ug
Category
Type Antibody Polyclonal
Format Liquid
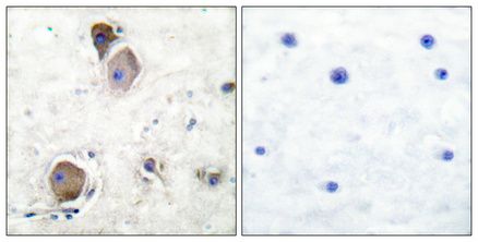
Applications WB, IF, IHC, ELISA
Specific against Human (Homo sapiens), Mouse (Murine, Mus musculus), Rat (Rattus norvegicus)
Host Rabbit
Isotype IgG
Conjugate/Tag Unconjugated
ECLASS 10.1 32160702
ECLASS 11.0 32160702
UNSPSC 12352203
Alias Anti-Tyrosine-Protein Kinase Lyn antibody, Anti-Lck/Yes-Related Novel Protein Tyrosine Kinase antibody, Anti-V-Yes-1 Yamaguchi Sarcoma Viral Related Oncogene Homolog antibody, Anti-P53lyn antibody, Anti-P56lyn antibody, Anti-LYN JTK8 antibody
Similar products Anti-Tyrosine-Protein Kinase Lyn antibody
Anti-Lck/Yes-Related Novel Protein Tyrosine Kinase antibody
Anti-V-Yes-1 Yamaguchi Sarcoma Viral Related Oncogene Homolog antibody
Anti-P53lyn antibody
Anti-P56lyn antibody
Anti-LYN JTK8 antibo
Available
Manufacturer - Type
Primary antibodies
Manufacturer - Targets
LYN
Storage Conditions
Store at-20°C for up to 1 year from the date of receipt, and avoid repeat freeze-thaw cycles.
Formulation
Liquid in PBS containing 50% Glycerol, 0.5% BSA and 0.02% Sodium Azide.
Concentration
1 mg/mL
Purification
The antibody was affinity-purified from rabbit antiserum by affinity-chromatography using epitope-specific immunogen.
Immunogen
The antiserum was produced against synthesized peptide derived from the human Lyn around the phosphorylation site of Tyr507 at the amino acid range 463-512
Clonality
Polyclonal
Gene symbol
LYN
Dilution range
WB 1:500-1:2000
IHC 1:100-1:300
ELISA 1:10000
IF 1:50-200
Note
STRICTLY FOR FURTHER SCIENTIFIC RESEARCH USE ONLY (RUO). MUST NOT TO BE USED IN DIAGNOSTIC OR THERAPEUTIC APPLICATIONS.
Immunogen Region
463-512 aa
Manufacturer - Specificity
Phospho-Lyn (Y508) Polyclonal Antibody detects endogenous levels of Lyn protein only when phosphorylated at Y508.

Note: The presented information and documents (Manual, Product Datasheet, Safety Datasheet and Certificate of Analysis) correspond to our latest update and should serve for orientational purpose only. We do not guarantee the topicality. We would kindly ask you to make a request for specific requirements, if necessary.

All products are intended for research use only (RUO). Not for human, veterinary or therapeutic use.

Amount: 200 ug
Available: In stock
available

Compare

Add to wishlist

Get an offer

Request delivery time

Ask a technical question

Submit a bulk request

Questions about this Product?
 
Close