Comparison

Anti-Phospho-DPYSL2-Thr509 antibody (475-524 aa) (STJ90974) European Partner

Item no. STJ90974-50
Manufacturer St John's Laboratory
Amount 50 ug
Quantity options 100 ug 20 ug 200 ug 50 ug
Category
Type Antibody Polyclonal
Format Liquid
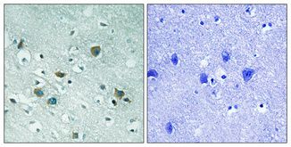
Applications WB, IF, IHC, ELISA
Specific against Human (Homo sapiens), Mouse (Murine, Mus musculus), Rat (Rattus norvegicus)
Host Rabbit
Isotype IgG
Conjugate/Tag Unconjugated
ECLASS 10.1 32160702
ECLASS 11.0 32160702
UNSPSC 12352203
Alias Anti-Dihydropyrimidinase-Related Protein 2 antibody, Anti-Drp-2 antibody, Anti-Collapsin Response Mediator Protein 2 antibody, Anti-Crmp-2 antibody, Anti-N2a3 antibody, Anti-Unc-33-Like Phosphoprotein 2 antibody, Anti-Ulip-2 antibody, Anti-DPYSL2 CRMP2 ULIP2 antibody
Similar products Anti-Dihydropyrimidinase-Related Protein 2 antibody
Anti-Drp-2 antibody
Anti-Collapsin Response Mediator Protein 2 antibody
Anti-Crmp-2 antibody
Anti-N2a3 antibody
Anti-Unc-33-Like Phosphoprotein 2 antibody
Anti-Ulip-2 antibody
Available
Manufacturer - Type
Primary antibodies
Manufacturer - Targets
DPYSL2
Storage Conditions
Store at-20°C for up to 1 year from the date of receipt, and avoid repeat freeze-thaw cycles.
Formulation
Liquid in PBS containing 50% Glycerol, 0.5% BSA and 0.02% Sodium Azide.
Concentration
1 mg/mL
Purification
The antibody was affinity-purified from rabbit antiserum by affinity-chromatography using epitope-specific immunogen.
Immunogen
The antiserum was produced against synthesized peptide derived from the human CRMP-2 around the phosphorylation site of Thr509 at the amino acid range 475-524
Clonality
Polyclonal
Gene symbol
DPYSL2
Dilution range
WB 1:500-1:2000
IHC 1:100-1:300
ELISA 1:5000
IF 1:50-200
Note
STRICTLY FOR FURTHER SCIENTIFIC RESEARCH USE ONLY (RUO). MUST NOT TO BE USED IN DIAGNOSTIC OR THERAPEUTIC APPLICATIONS.
Immunogen Region
475-524 aa
Manufacturer - Specificity
Phospho-CRMP-2 (T509) Polyclonal Antibody detects endogenous levels of CRMP-2 protein only when phosphorylated at T509.

Note: The presented information and documents (Manual, Product Datasheet, Safety Datasheet and Certificate of Analysis) correspond to our latest update and should serve for orientational purpose only. We do not guarantee the topicality. We would kindly ask you to make a request for specific requirements, if necessary.

All products are intended for research use only (RUO). Not for human, veterinary or therapeutic use.

Amount: 50 ug
Available: In stock
available

Compare

Add to wishlist

Get an offer

Request delivery time

Ask a technical question

Submit a bulk request

Questions about this Product?
 
Close