Comparison

Anti-Phospho-RPS6-Ser235/S236 antibody (200-249 aa) (STJ90992) European Partner

Item no. STJ90992-50
Manufacturer St John's Laboratory
Amount 50 ug
Quantity options 100 ug 20 ug 200 ug 50 ug
Category
Type Antibody Polyclonal
Format Liquid
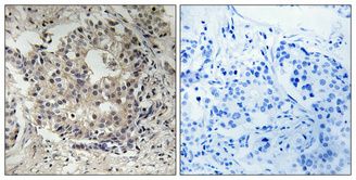
Applications WB, IF, IHC, ELISA
Specific against Human (Homo sapiens), Mouse (Murine, Mus musculus), Rat (Rattus norvegicus)
Host Rabbit
Isotype IgG
Conjugate/Tag Unconjugated
ECLASS 10.1 32160702
ECLASS 11.0 32160702
UNSPSC 12352203
Alias Anti-40s Ribosomal Protein S6 antibody, Anti-Phosphoprotein Np33 antibody, Anti-Small Ribosomal Subunit Protein Es6 antibody, Anti-RPS6 OK/SW-cl.2 antibody
Similar products Anti-40s Ribosomal Protein S6 antibody
Anti-Phosphoprotein Np33 antibody
Anti-Small Ribosomal Subunit Protein Es6 antibody
Anti-RPS6 OK/SW-cl.2 antibody
Available
Manufacturer - Type
Primary antibodies
Manufacturer - Targets
RPS6
Storage Conditions
Store at-20°C for up to 1 year from the date of receipt, and avoid repeat freeze-thaw cycles.
Formulation
Liquid in PBS containing 50% Glycerol, 0.5% BSA and 0.02% Sodium Azide.
Concentration
1 mg/mL
Purification
The antibody was affinity-purified from rabbit antiserum by affinity-chromatography using epitope-specific immunogen.
Immunogen
The antiserum was produced against synthesized peptide derived from the human S6 Ribosomal Protein around the phosphorylation site of Ser235 and Ser236 at the amino acid range 200-249
Clonality
Polyclonal
Gene symbol
RPS6
Dilution range
WB 1:500-1:2000
IHC 1:100-1:300
ELISA 1:5000
IF 1:50-200
Note
STRICTLY FOR FURTHER SCIENTIFIC RESEARCH USE ONLY (RUO). MUST NOT TO BE USED IN DIAGNOSTIC OR THERAPEUTIC APPLICATIONS.
Immunogen Region
200-249 aa
Manufacturer - Specificity
Phospho-Ribosomal Protein S6 (S235/S236) Polyclonal Antibody detects endogenous levels of Ribosomal Protein S6 protein only when phosphorylated at S235/S236.

Note: The presented information and documents (Manual, Product Datasheet, Safety Datasheet and Certificate of Analysis) correspond to our latest update and should serve for orientational purpose only. We do not guarantee the topicality. We would kindly ask you to make a request for specific requirements, if necessary.

All products are intended for research use only (RUO). Not for human, veterinary or therapeutic use.

Amount: 50 ug
Available: In stock
available

Compare

Add to wishlist

Get an offer

Request delivery time

Ask a technical question

Submit a bulk request

Questions about this Product?
 
Close