Comparison

Anti-GPS1 antibody (420-469 aa) (STJ92498) European Partner

Item no. STJ92498-200
Manufacturer St John's Laboratory
Amount 200 ug
Quantity options 100 ug 20 ug 200 ug 50 ug
Category
Type Antibody Polyclonal
Format Liquid
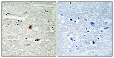
Applications IF, IHC, ELISA
Specific against Human (Homo sapiens), Mouse (Murine, Mus musculus), Rat (Rattus norvegicus)
Host Rabbit
Isotype IgG
Conjugate/Tag Unconjugated
ECLASS 10.1 32160702
ECLASS 11.0 32160702
UNSPSC 12352203
Alias Anti-Cop9 Signalosome Complex Subunit 1 antibody, Anti-Sgn1 antibody, Anti-Signalosome Subunit 1 antibody, Anti-G Protein Pathway Suppressor 1 antibody, Anti-Gps-1 antibody, Anti-Jab1-Containing Signalosome Subunit 1 antibody, Anti-Protein Mfh antibody, Anti-GPS1 COPS1 CSN1 antibody
Similar products Anti-Cop9 Signalosome Complex Subunit 1 antibody
Anti-Sgn1 antibody
Anti-Signalosome Subunit 1 antibody
Anti-G Protein Pathway Suppressor 1 antibody
Anti-Gps-1 antibody
Anti-Jab1-Containing Signalosome Subunit 1 antibody
Anti-Prote
Available
Manufacturer - Type
Primary antibodies
Manufacturer - Targets
GPS1
Storage Conditions
Store at-20°C for up to 1 year from the date of receipt, and avoid repeat freeze-thaw cycles.
Formulation
Liquid in PBS containing 50% Glycerol, 0.5% BSA and 0.02% Sodium Azide.
Concentration
1 mg/mL
Purification
The antibody was affinity-purified from rabbit antiserum by affinity-chromatography using epitope-specific immunogen.
Immunogen
The antiserum was produced against synthesized peptide derived from the human COPS1 at the amino acid range 420-469
Clonality
Polyclonal
Gene symbol
GPS1
Dilution range
IHC 1:100-1:300
ELISA 1:20000
IF 1:50-200
Note
STRICTLY FOR FURTHER SCIENTIFIC RESEARCH USE ONLY (RUO). MUST NOT TO BE USED IN DIAGNOSTIC OR THERAPEUTIC APPLICATIONS.
Immunogen Region
420-469 aa
Manufacturer - Specificity
CSN1 Polyclonal Antibody detects endogenous levels of CSN1 protein.

Note: The presented information and documents (Manual, Product Datasheet, Safety Datasheet and Certificate of Analysis) correspond to our latest update and should serve for orientational purpose only. We do not guarantee the topicality. We would kindly ask you to make a request for specific requirements, if necessary.

All products are intended for research use only (RUO). Not for human, veterinary or therapeutic use.

Amount: 200 ug
Available: In stock
available

Delivery expected until 12/4/2025 

Compare

Add to wishlist

Get an offer

Request delivery time

Ask a technical question

Submit a bulk request

Questions about this Product?
 
Close