Comparison

Anti-HSPE1 antibody (51-100 aa) (STJ93613) European Partner

Item no. STJ93613-100
Manufacturer St John's Laboratory
Amount 100 ug
Quantity options 100 ug 20 ug 200 ug 50 ug
Category
Type Antibody Polyclonal
Format Liquid
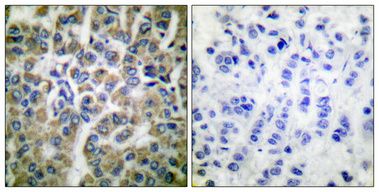
Applications WB, IF, IHC, ELISA
Specific against Human (Homo sapiens), Mouse (Murine, Mus musculus), Rat (Rattus norvegicus)
Host Rabbit
Isotype IgG
Conjugate/Tag Unconjugated
ECLASS 10.1 32160702
ECLASS 11.0 32160702
UNSPSC 12352203
Alias Anti-10 Kda Heat Shock Protein-Mitochondrial antibody, Anti-Hsp10 antibody, Anti-10 Kda Chaperonin antibody, Anti-Chaperonin 10 antibody, Anti-Cpn10 antibody, Anti-Early-Pregnancy Factor antibody, Anti-Epf antibody, Anti-HSPE1 antibody
Similar products Anti-10 Kda Heat Shock Protein-Mitochondrial antibody
Anti-Hsp10 antibody
Anti-10 Kda Chaperonin antibody
Anti-Chaperonin 10 antibody
Anti-Cpn10 antibody
Anti-Early-Pregnancy Factor antibody
Anti-Epf antibody
Anti-HSPE1 antibod
Available
Manufacturer - Type
Primary antibodies
Manufacturer - Targets
HSPE1
Storage Conditions
Store at-20°C for up to 1 year from the date of receipt, and avoid repeat freeze-thaw cycles.
Formulation
Liquid in PBS containing 50% Glycerol, 0.5% BSA and 0.02% Sodium Azide.
Concentration
1 mg/mL
Purification
The antibody was affinity-purified from rabbit antiserum by affinity-chromatography using epitope-specific immunogen.
Immunogen
The antiserum was produced against synthesized peptide derived from the human HSP10 at the amino acid range 51-100
Clonality
Polyclonal
Gene symbol
HSPE1
Dilution range
WB 1:500-1:2000
IHC 1:100-1:300
IF 1:200-1:1000
ELISA 1:10000
Note
STRICTLY FOR FURTHER SCIENTIFIC RESEARCH USE ONLY (RUO). MUST NOT TO BE USED IN DIAGNOSTIC OR THERAPEUTIC APPLICATIONS.
Immunogen Region
51-100 aa
Manufacturer - Specificity
HSP10 Polyclonal Antibody detects endogenous levels of HSP10 protein.

Note: The presented information and documents (Manual, Product Datasheet, Safety Datasheet and Certificate of Analysis) correspond to our latest update and should serve for orientational purpose only. We do not guarantee the topicality. We would kindly ask you to make a request for specific requirements, if necessary.

All products are intended for research use only (RUO). Not for human, veterinary or therapeutic use.

Amount: 100 ug
Available: In stock
available

Delivery expected until 11/27/2025 

Compare

Add to wishlist

Get an offer

Request delivery time

Ask a technical question

Submit a bulk request

Questions about this Product?
 
Close