Comparison

Anti-HSP90AA1 antibody (683-732 aa) (STJ93622) European Partner

Item no. STJ93622-200
Manufacturer St John's Laboratory
Amount 200 ug
Quantity options 100 ug 20 ug 200 ug 50 ug
Category
Type Antibody Polyclonal
Format Liquid
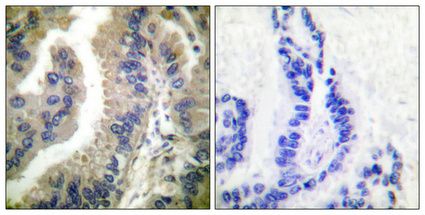
Applications WB, IF, IHC, ELISA
Specific against Human (Homo sapiens), Mouse (Murine, Mus musculus), Rat (Rattus norvegicus)
Host Rabbit
Isotype IgG
Conjugate/Tag Unconjugated
ECLASS 10.1 32160702
ECLASS 11.0 32160702
UNSPSC 12352203
Alias Anti-Heat Shock Protein Hsp 90-Alpha antibody, Anti-Heat Shock 86 Kda antibody, Anti-Hsp 86 antibody, Anti-Hsp86 antibody, Anti-Lipopolysaccharide-Associated Protein 2 antibody, Anti-Lap-2 antibody, Anti-Lps-Associated Protein 2 antibody, Anti-Renal Carcinoma Antigen Ny-Ren-38 antibody, Anti-HSP90AA1 HSP90A HSPC1 HSPCA antibody
Similar products Anti-Heat Shock Protein Hsp 90-Alpha antibody
Anti-Heat Shock 86 Kda antibody
Anti-Hsp 86 antibody
Anti-Hsp86 antibody
Anti-Lipopolysaccharide-Associated Protein 2 antibody
Anti-Lap-2 antibody
Anti-Lps-Associated Protein 2 antibody
Available
Manufacturer - Type
Primary antibodies
Manufacturer - Targets
HSP90AA1
Storage Conditions
Store at-20°C for up to 1 year from the date of receipt, and avoid repeat freeze-thaw cycles.
Formulation
Liquid in PBS containing 50% Glycerol, 0.5% BSA and 0.02% Sodium Azide.
Concentration
1 mg/mL
Purification
The antibody was affinity-purified from rabbit antiserum by affinity-chromatography using epitope-specific immunogen.
Immunogen
The antiserum was produced against synthesized peptide derived from the human HSP90A at the amino acid range 683-732
Clonality
Polyclonal
Gene symbol
HSP90AA1
Dilution range
WB 1:500-1:2000
IHC 1:100-1:300
IF 1:200-1:1000
ELISA 1:40000
Note
STRICTLY FOR FURTHER SCIENTIFIC RESEARCH USE ONLY (RUO). MUST NOT TO BE USED IN DIAGNOSTIC OR THERAPEUTIC APPLICATIONS.
Immunogen Region
683-732 aa
Manufacturer - Specificity
HSP90A Polyclonal Antibody detects endogenous levels of HSP90A protein.

Note: The presented information and documents (Manual, Product Datasheet, Safety Datasheet and Certificate of Analysis) correspond to our latest update and should serve for orientational purpose only. We do not guarantee the topicality. We would kindly ask you to make a request for specific requirements, if necessary.

All products are intended for research use only (RUO). Not for human, veterinary or therapeutic use.

Amount: 200 ug
Available: In stock
available

Delivery expected until 11/27/2025 

Compare

Add to wishlist

Get an offer

Request delivery time

Ask a technical question

Submit a bulk request

Questions about this Product?
 
Close