Comparison

Anti-MAPK8IP1 antibody (69-118 aa) (STJ93799) European Partner

Item no. STJ93799-50
Manufacturer St John's Laboratory
Amount 50 ug
Quantity options 100 ug 20 ug 200 ug 50 ug
Category
Type Antibody Polyclonal
Format Liquid
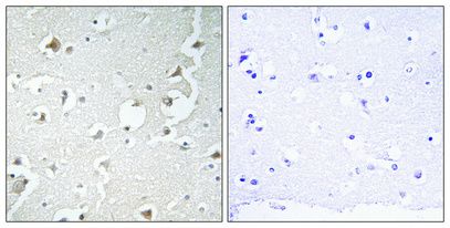
Applications WB, IF, IHC, ELISA
Specific against Human (Homo sapiens), Mouse (Murine, Mus musculus), Rat (Rattus norvegicus)
Host Rabbit
Isotype IgG
Conjugate/Tag Unconjugated
ECLASS 10.1 32160702
ECLASS 11.0 32160702
UNSPSC 12352203
Alias Anti-C-Jun-Amino-Terminal Kinase-Interacting Protein 1 antibody, Anti-Jip-1 antibody, Anti-Jnk-Interacting Protein 1 antibody, Anti-Islet-Brain 1 antibody, Anti-Ib-1 antibody, Anti-Jnk Map Kinase Scaffold Protein 1 antibody, Anti-Mitogen-Activated Protein Kinase 8-Interacting Protein 1 antibody, Anti-MAPK8IP1 IB1 JIP1 PRKM8IP antibody
Similar products Anti-C-Jun-Amino-Terminal Kinase-Interacting Protein 1 antibody
Anti-Jip-1 antibody
Anti-Jnk-Interacting Protein 1 antibody
Anti-Islet-Brain 1 antibody
Anti-Ib-1 antibody
Anti-Jnk Map Kinase Scaffold Protein 1 antibody
Anti-Mitogen
Available
Manufacturer - Type
Primary antibodies
Manufacturer - Targets
MAPK8IP1
Storage Conditions
Store at-20°C for up to 1 year from the date of receipt, and avoid repeat freeze-thaw cycles.
Formulation
Liquid in PBS containing 50% Glycerol, 0.5% BSA and 0.02% Sodium Azide.
Concentration
1 mg/mL
Purification
The antibody was affinity-purified from rabbit antiserum by affinity-chromatography using epitope-specific immunogen.
Immunogen
The antiserum was produced against synthesized peptide derived from the human JIP1 at the amino acid range 69-118
Clonality
Polyclonal
Gene symbol
MAPK8IP1
Dilution range
WB 1:500-1:2000
IHC 1:100-1:300
IF 1:200-1:1000
ELISA 1:5000
Note
STRICTLY FOR FURTHER SCIENTIFIC RESEARCH USE ONLY (RUO). MUST NOT TO BE USED IN DIAGNOSTIC OR THERAPEUTIC APPLICATIONS.
Immunogen Region
69-118 aa
Manufacturer - Specificity
JIP-1 Polyclonal Antibody detects endogenous levels of JIP-1 protein.

Note: The presented information and documents (Manual, Product Datasheet, Safety Datasheet and Certificate of Analysis) correspond to our latest update and should serve for orientational purpose only. We do not guarantee the topicality. We would kindly ask you to make a request for specific requirements, if necessary.

All products are intended for research use only (RUO). Not for human, veterinary or therapeutic use.

Amount: 50 ug
Available: In stock
available

Delivery expected until 10/23/2025 

Compare

Add to wishlist

Get an offer

Request delivery time

Ask a technical question

Submit a bulk request

Questions about this Product?
 
Close