Comparison

Anti-XRCC6 antibody (560-609 aa) (STJ93863) European Partner

Item no. STJ93863-100
Manufacturer St John's Laboratory
Amount 100 ug
Quantity options 100 ug 20 ug 200 ug 50 ug
Category
Type Antibody Polyclonal
Format Liquid
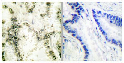
Applications WB, IF, IHC, ELISA
Specific against Human (Homo sapiens), Mouse (Murine, Mus musculus), Rat (Rattus norvegicus)
Host Rabbit
Isotype IgG
Conjugate/Tag Unconjugated
ECLASS 10.1 32160702
ECLASS 11.0 32160702
UNSPSC 12352203
Alias Anti-X-Ray Repair Cross-Complementing Protein 6 antibody, Anti-5'-Deoxyribose-5-Phosphate Lyase Ku70 antibody, Anti-5'-Drp Lyase Ku70 antibody, Anti-70 Kda Subunit Of Ku Antigen antibody, Anti-Atp-Dependent Dna Helicase 2 Subunit 1 antibody, Anti-Atp-Dependent Dna Helicase Ii 70 Kda Subunit antibody, Anti-Ctc Box-Binding Factor 75 Kda Subunit antibody, Anti-Ctc75 antibody, Anti-Ctcbf antibody, Anti-Dna Repair Protein Xrcc6 antibody, Anti-Lupus Ku Autoantigen Protein P70 antibody, Anti-Ku70 antibody, Anti-Thyroid-Lupus Autoantigen antibody, Anti-Tlaa antibody, Anti-X-Ray Repair Complementing Defective Repair In Chinese Hamster Cells 6 antibody, Anti-XRCC6 G22P1 antibody
Similar products Anti-X-Ray Repair Cross-Complementing Protein 6 antibody
Anti-5'-Deoxyribose-5-Phosphate Lyase Ku70 antibody
Anti-5'-Drp Lyase Ku70 antibody
Anti-70 Kda Subunit Of Ku Antigen antibody
Anti-Atp-Dependent Dna Helicase 2 Subunit 1 antibody
Available
Manufacturer - Type
Primary antibodies
Manufacturer - Targets
XRCC6
Storage Conditions
Store at-20°C for up to 1 year from the date of receipt, and avoid repeat freeze-thaw cycles.
Formulation
Liquid in PBS containing 50% Glycerol, 0.5% BSA and 0.02% Sodium Azide.
Concentration
1 mg/mL
Purification
The antibody was affinity-purified from rabbit antiserum by affinity-chromatography using epitope-specific immunogen.
Immunogen
The antiserum was produced against synthesized peptide derived from the human Ku70 at the amino acid range 560-609
Clonality
Polyclonal
Gene symbol
XRCC6
Dilution range
WB 1:500-1:2000
IHC 1:100-1:300
IF 1:200-1:1000
ELISA 1:10000
Note
STRICTLY FOR FURTHER SCIENTIFIC RESEARCH USE ONLY (RUO). MUST NOT TO BE USED IN DIAGNOSTIC OR THERAPEUTIC APPLICATIONS.
Immunogen Region
560-609 aa
Manufacturer - Specificity
Ku-70 Polyclonal Antibody detects endogenous levels of Ku-70 protein.

Note: The presented information and documents (Manual, Product Datasheet, Safety Datasheet and Certificate of Analysis) correspond to our latest update and should serve for orientational purpose only. We do not guarantee the topicality. We would kindly ask you to make a request for specific requirements, if necessary.

All products are intended for research use only (RUO). Not for human, veterinary or therapeutic use.

Amount: 100 ug
Available: In stock
available

Compare

Add to wishlist

Get an offer

Request delivery time

Ask a technical question

Submit a bulk request

Questions about this Product?
 
Close