Comparison

Anti-NPAS4 antibody (603-652) (STJ94544) European Partner

Item no. STJ94544-50
Manufacturer St John's Laboratory
Amount 50 ug
Quantity options 100 ug 20 ug 200 ug 50 ug
Category
Type Antibody Polyclonal
Format Liquid
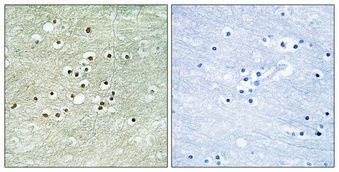
Applications IF, IHC, ELISA
Specific against Human (Homo sapiens), Mouse (Murine, Mus musculus), Rat (Rattus norvegicus)
Host Rabbit
Isotype IgG
Conjugate/Tag Unconjugated
ECLASS 10.1 32160702
ECLASS 11.0 32160702
UNSPSC 12352203
Alias Anti-Neuronal Pas Domain-Containing Protein 4 antibody, Anti-Neuronal Pas4 antibody, Anti-Class E Basic Helix-Loop-Helix Protein 79 antibody, Anti-Bhlhe79 antibody, Anti-Hlh-Pas Transcription Factor Nxf antibody, Anti-Pas Domain-Containing Protein 10 antibody, Anti-NPAS4 BHLHE79 NXF PASD10 antibody
Similar products Anti-Neuronal Pas Domain-Containing Protein 4 antibody
Anti-Neuronal Pas4 antibody
Anti-Class E Basic Helix-Loop-Helix Protein 79 antibody
Anti-Bhlhe79 antibody
Anti-Hlh-Pas Transcription Factor Nxf antibody
Anti-Pas Domain-Containing
Available
Manufacturer - Type
Primary antibodies
Manufacturer - Targets
NPAS4
Storage Conditions
Store at-20°C for up to 1 year from the date of receipt, and avoid repeat freeze-thaw cycles.
Formulation
Liquid in PBS containing 50% Glycerol, 0.5% BSA and 0.02% Sodium Azide.
Concentration
1 mg/mL
Purification
The antibody was affinity-purified from rabbit antiserum by affinity-chromatography using epitope-specific immunogen.
Immunogen
The antiserum was produced against synthesized peptide derived from human NPAS4. AA range:603-652
Clonality
Polyclonal
Gene symbol
NPAS4
Dilution range
IHC 1:100-1:300
ELISA 1:20000
IF 1:50-200
Note
STRICTLY FOR FURTHER SCIENTIFIC RESEARCH USE ONLY (RUO). MUST NOT TO BE USED IN DIAGNOSTIC OR THERAPEUTIC APPLICATIONS.
Immunogen Region
603-652
Manufacturer - Specificity
NPAS4 Polyclonal Antibody detects endogenous levels of NPAS4 protein.

Note: The presented information and documents (Manual, Product Datasheet, Safety Datasheet and Certificate of Analysis) correspond to our latest update and should serve for orientational purpose only. We do not guarantee the topicality. We would kindly ask you to make a request for specific requirements, if necessary.

All products are intended for research use only (RUO). Not for human, veterinary or therapeutic use.

Amount: 50 ug
Available: In stock
available

Compare

Add to wishlist

Get an offer

Request delivery time

Ask a technical question

Submit a bulk request

Questions about this Product?
 
Close