Comparison

Anti-POM121 antibody (1197-1246 aa) (STJ95184) European Partner

Item no. STJ95184-200
Manufacturer St John's Laboratory
Amount 200 ug
Quantity options 100 ug 20 ug 200 ug 50 ug
Category
Type Antibody Polyclonal
Format Liquid
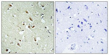
Applications WB, IF, IHC, ELISA
Specific against Human (Homo sapiens), Mouse (Murine, Mus musculus), Rat (Rattus norvegicus)
Host Rabbit
Isotype IgG
Conjugate/Tag Unconjugated
ECLASS 10.1 32160702
ECLASS 11.0 32160702
UNSPSC 12352203
Alias Anti-Nuclear Envelope Pore Membrane Protein Pom 121 antibody, Anti-Nuclear Envelope Pore Membrane Protein Pom 121a antibody, Anti-Nucleoporin Nup121 antibody, Anti-Pore Membrane Protein Of 121 Kda antibody, Anti-POM121 KIAA0618 NUP121 POM121A antibody
Similar products Anti-Nuclear Envelope Pore Membrane Protein Pom 121 antibody
Anti-Nuclear Envelope Pore Membrane Protein Pom 121a antibody
Anti-Nucleoporin Nup121 antibody
Anti-Pore Membrane Protein Of 121 Kda antibody
Anti-POM121 KIAA0618 NUP121 POM121A
Available
Manufacturer - Type
Primary antibodies
Manufacturer - Targets
POM121
Storage Conditions
Store at-20°C for up to 1 year from the date of receipt, and avoid repeat freeze-thaw cycles.
Formulation
Liquid in PBS containing 50% Glycerol, 0.5% BSA and 0.02% Sodium Azide.
Concentration
1 mg/mL
Purification
The antibody was affinity-purified from rabbit antiserum by affinity-chromatography using epitope-specific immunogen.
Immunogen
The antiserum was produced against synthesized peptide derived from the human POM121 at the amino acid range 1197-1246
Clonality
Polyclonal
Gene symbol
POM121
Dilution range
WB 1:500-1:2000
IHC 1:100-1:300
ELISA 1:40000
IF 1:50-200
Note
STRICTLY FOR FURTHER SCIENTIFIC RESEARCH USE ONLY (RUO). MUST NOT TO BE USED IN DIAGNOSTIC OR THERAPEUTIC APPLICATIONS.
Immunogen Region
1197-1246 aa
Manufacturer - Specificity
POM121 Polyclonal Antibody detects endogenous levels of POM121 protein.

Note: The presented information and documents (Manual, Product Datasheet, Safety Datasheet and Certificate of Analysis) correspond to our latest update and should serve for orientational purpose only. We do not guarantee the topicality. We would kindly ask you to make a request for specific requirements, if necessary.

All products are intended for research use only (RUO). Not for human, veterinary or therapeutic use.

Amount: 200 ug
Available: In stock
available

Compare

Add to wishlist

Get an offer

Request delivery time

Ask a technical question

Submit a bulk request

Questions about this Product?
 
Close