Comparison

Anti-Di-Methyl-Histone H3-Lys10 antibody (STJ97223) European Partner

Item no. STJ97223-50
Manufacturer St John's Laboratory
Amount 50 ug
Quantity options 100 ug 20 ug 200 ug 50 ug
Category
Type Antibody Polyclonal
Format Liquid
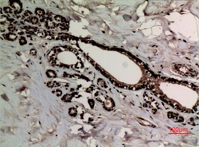
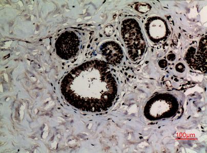
Applications WB, IF, IHC, ELISA
Specific against Human (Homo sapiens), Mouse (Murine, Mus musculus), Rat (Rattus norvegicus)
Host Rabbit
Isotype IgG
Conjugate/Tag Unconjugated
ECLASS 10.1 32160702
ECLASS 11.0 32160702
UNSPSC 12352203
Alias Histone H3.1, Histone H3/a, Histone H3/b, Histone H3/c, Histone H3/d, Histone H3/f, Histone H3/h, Histone H3/i, Histone H3/j, Histone H3/k, Histone H3/l
Similar products Histone H3.1
Histone H3/a
Histone H3/b
Histone H3/c
Histone H3/d
Histone H3/f
Histone H3/h
Histone H3/i
Histone H3/j
Histone H3/k
Histone H3/l
Available
Manufacturer - Type
Primary antibodies
Manufacturer - Targets
HIST1H3A/HIST1H3/HIST1H3C/HIST1H3D/HIST1H3E/HIST1H3F/HIST1H3G/HIST1H3H/HIST1H3I/HIST1H3J/HIST2H3A/HIST2H3C/HIST2H3D/H3F3A/H3F3B/H3F3C
Storage Conditions
Store at-20°C for up to 1 year from the date of receipt, and avoid repeat freeze-thaw cycles.
Formulation
Liquid in PBS containing 50% Glycerol, 0.5% BSA and 0.02% Sodium Azide.
Concentration
1 mg/mL
Purification
The antibody was affinity-purified from rabbit antiserum by affinity-chromatography using epitope-specific immunogen.
Immunogen
Synthesized peptide derived from the N-terminal region of human Histone H3 around the di-methylation site of K10.
Clonality
Polyclonal
Gene symbol
HIST1H3A/HIST1H3/HIST1H3C/HIST1H3D/HIST1H3E/HIST1H3F/HIST1H3G/HIST1H3H/HIST1H3I/HIST1H3J/HIST2H3A/HIST2H3C/HIST2H3D/H3F3A/H3F3B/H3F3C
Dilution range
WB 1:500-1:2000
IHC-P 1:100-300
ELISA 1:10000
IF 1:50-200
Note
STRICTLY FOR FURTHER SCIENTIFIC RESEARCH USE ONLY (RUO). MUST NOT TO BE USED IN DIAGNOSTIC OR THERAPEUTIC APPLICATIONS.
Manufacturer - Specificity
Di-Methyl-Histone H3 (K10) Polyclonal Antibody detects endogenous levels of Histone H3 protein only when di-methylated at K10.

Note: The presented information and documents (Manual, Product Datasheet, Safety Datasheet and Certificate of Analysis) correspond to our latest update and should serve for orientational purpose only. We do not guarantee the topicality. We would kindly ask you to make a request for specific requirements, if necessary.

All products are intended for research use only (RUO). Not for human, veterinary or therapeutic use.

Amount: 50 ug
Available: In stock
available

Compare

Add to wishlist

Get an offer

Request delivery time

Ask a technical question

Submit a bulk request

Questions about this Product?
 
Close