Comparison

Anti-CDH5 antibody (670-750 aa) [8E5] (STJ97779) European Partner

Item no. STJ97779-200
Manufacturer St John's Laboratory
Amount 200 ug
Quantity options 100 ug 20 ug 200 ug 50 ug
Category
Type Antibody Monoclonal
Format Liquid
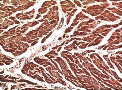
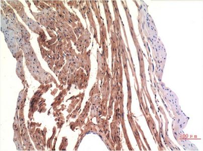
Applications IF, IHC
Clone 8E5
Specific against Human (Homo sapiens), Mouse (Murine, Mus musculus), Rat (Rattus norvegicus)
Host Mouse
Isotype IgG1
Conjugate/Tag Unconjugated
ECLASS 10.1 42030590
ECLASS 11.0 42030590
UNSPSC 12352203
Alias Anti-Cadherin-5 antibody, Anti-7b4 Antigen antibody, Anti-Vascular Endothelial Cadherin antibody, Anti-Ve-Cadherin antibody, Anti-Cd Antigen Cd144 antibody, Anti-CDH5 antibody
Similar products Anti-Cadherin-5 antibody
Anti-7b4 Antigen antibody
Anti-Vascular Endothelial Cadherin antibody
Anti-Ve-Cadherin antibody
Anti-Cd Antigen Cd144 antibody
Anti-CDH5 antibody
Available
Manufacturer - Type
Primary antibodies
Manufacturer - Targets
CDH5
Storage Conditions
Store at-20°C for up to 1 year from the date of receipt, and avoid repeat freeze-thaw cycles.
Formulation
Liquid in PBS containing 50% Glycerol, 0.5% BSA and 0.02% Sodium Azide.
Concentration
1 mg/mL
Purification
The antibody was affinity-purified from mouse ascites by affinity-chromatography using specific immunogen.
Immunogen
Synthetic peptide of VE-Cadherin at the amino acid range of 670-750
Clonality
Monoclonal
Gene symbol
CDH5
Dilution range
IHC 1:100-200
IF 1:50-200
Note
STRICTLY FOR FURTHER SCIENTIFIC RESEARCH USE ONLY (RUO). MUST NOT TO BE USED IN DIAGNOSTIC OR THERAPEUTIC APPLICATIONS.
Immunogen Region
670-750 aa
Manufacturer - Specificity
VE-Cadherin protein detects endogenous levels of CDH5

Note: The presented information and documents (Manual, Product Datasheet, Safety Datasheet and Certificate of Analysis) correspond to our latest update and should serve for orientational purpose only. We do not guarantee the topicality. We would kindly ask you to make a request for specific requirements, if necessary.

All products are intended for research use only (RUO). Not for human, veterinary or therapeutic use.

Amount: 200 ug
Available: In stock
available

Delivery expected until 10/23/2025 

Compare

Add to wishlist

Get an offer

Request delivery time

Ask a technical question

Submit a bulk request

Questions about this Product?
 
Close