Comparison

Anti-Phospho-OXSR1-Thr185 antibody (151-200 aa) (STJ90953) European Partner

Item no. STJ90953-100
Manufacturer St John's Laboratory
Amount 100 ug
Quantity options 100 ug 20 ug 200 ug 50 ug
Category
Type Antibody Polyclonal
Format Liquid
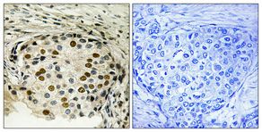
Applications WB, IF, IHC, ELISA
Specific against Human (Homo sapiens), Mouse (Murine, Mus musculus)
Host Rabbit
Isotype IgG
Conjugate/Tag Unconjugated
ECLASS 10.1 32160702
ECLASS 11.0 32160702
UNSPSC 12352203
Alias Anti-Serine/Threonine-Protein Kinase Osr1 antibody, Anti-Oxidative Stress-Responsive 1 Protein antibody, Anti-OXSR1 KIAA1101 OSR1 antibody
Similar products Anti-Serine/Threonine-Protein Kinase Osr1 antibody
Anti-Oxidative Stress-Responsive 1 Protein antibody
Anti-OXSR1 KIAA1101 OSR1 antibody
Available
Manufacturer - Type
Primary antibodies
Manufacturer - Targets
OXSR1
Storage Conditions
Store at-20°C for up to 1 year from the date of receipt, and avoid repeat freeze-thaw cycles.
Formulation
Liquid in PBS containing 50% Glycerol, 0.5% BSA and 0.02% Sodium Azide.
Concentration
1 mg/mL
Purification
The antibody was affinity-purified from rabbit antiserum by affinity-chromatography using epitope-specific immunogen.
Immunogen
The antiserum was produced against synthesized peptide derived from the human OSR1 around the phosphorylation site of Thr185 at the amino acid range 151-200
Clonality
Polyclonal
Gene symbol
OXSR1
Dilution range
WB 1:500-1:2000
IHC 1:100-1:300
ELISA 1:10000
IF 1:50-200
Note
STRICTLY FOR FURTHER SCIENTIFIC RESEARCH USE ONLY (RUO). MUST NOT TO BE USED IN DIAGNOSTIC OR THERAPEUTIC APPLICATIONS.
Immunogen Region
151-200 aa
Manufacturer - Specificity
Phospho-OSR1 (T185) Polyclonal Antibody detects endogenous levels of OSR1 protein only when phosphorylated at T185.

Note: The presented information and documents (Manual, Product Datasheet, Safety Datasheet and Certificate of Analysis) correspond to our latest update and should serve for orientational purpose only. We do not guarantee the topicality. We would kindly ask you to make a request for specific requirements, if necessary.

All products are intended for research use only (RUO). Not for human, veterinary or therapeutic use.

Amount: 100 ug
Available: In stock
available

Compare

Add to wishlist

Get an offer

Request delivery time

Ask a technical question

Submit a bulk request

Questions about this Product?
 
Close