Comparison

Anti-Phospho-WWOX-Tyr33 antibody (18-67 aa) (STJ90971) European Partner

Item no. STJ90971-100
Manufacturer St John's Laboratory
Amount 100 ug
Quantity options 100 ug 20 ug 200 ug 50 ug
Category
Type Antibody Polyclonal
Format Liquid
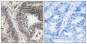
Applications WB, IF, IHC, ELISA
Specific against Human (Homo sapiens), Mouse (Murine, Mus musculus)
Host Rabbit
Isotype IgG
Conjugate/Tag Unconjugated
ECLASS 10.1 32160702
ECLASS 11.0 32160702
UNSPSC 12352203
Alias Anti-Ww Domain-Containing Oxidoreductase antibody, Anti-Fragile Site Fra16d Oxidoreductase antibody, Anti-Short Chain Dehydrogenase/Reductase Family 41c Member 1 antibody, Anti-WWOX FOR SDR41C1 WOX1 antibody
Similar products Anti-Ww Domain-Containing Oxidoreductase antibody
Anti-Fragile Site Fra16d Oxidoreductase antibody
Anti-Short Chain Dehydrogenase/Reductase Family 41c Member 1 antibody
Anti-WWOX FOR SDR41C1 WOX1 antibody
Available
Manufacturer - Type
Primary antibodies
Manufacturer - Targets
WWOX
Storage Conditions
Store at-20°C for up to 1 year from the date of receipt, and avoid repeat freeze-thaw cycles.
Formulation
Liquid in PBS containing 50% Glycerol, 0.5% BSA and 0.02% Sodium Azide.
Concentration
1 mg/mL
Purification
The antibody was affinity-purified from rabbit antiserum by affinity-chromatography using epitope-specific immunogen.
Immunogen
The antiserum was produced against synthesized peptide derived from the human WWOX around the phosphorylation site of Tyr33 at the amino acid range 18-67
Clonality
Polyclonal
Gene symbol
WWOX
Dilution range
WB 1:500-1:2000
IHC 1:100-1:300
ELISA 1:10000
IF 1:50-200
Note
STRICTLY FOR FURTHER SCIENTIFIC RESEARCH USE ONLY (RUO). MUST NOT TO BE USED IN DIAGNOSTIC OR THERAPEUTIC APPLICATIONS.
Immunogen Region
18-67 aa
Manufacturer - Specificity
Phospho-WWOX (Y33) Polyclonal Antibody detects endogenous levels of WWOX protein only when phosphorylated at Y33.

Note: The presented information and documents (Manual, Product Datasheet, Safety Datasheet and Certificate of Analysis) correspond to our latest update and should serve for orientational purpose only. We do not guarantee the topicality. We would kindly ask you to make a request for specific requirements, if necessary.

All products are intended for research use only (RUO). Not for human, veterinary or therapeutic use.

Amount: 100 ug
Available: In stock
available

Compare

Add to wishlist

Get an offer

Request delivery time

Ask a technical question

Submit a bulk request

Questions about this Product?
 
Close