Comparison

Anti-FOXP3 antibody [2A11G9/2A11C2] (STJ98088) European Partner

Item no. STJ98088-100
Manufacturer St John's Laboratory
Amount 100 ug
Quantity options 100 ug 200 ug 50 ug
Category
Type Antibody Monoclonal
Format Liquid
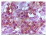
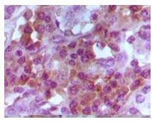
Applications WB, IF, IHC, ELISA
Clone 2A11G9/2A11C2
Specific against Human (Homo sapiens), Mouse (Murine, Mus musculus)
Host Mouse
Isotype IgG1
Conjugate/Tag Unconjugated
ECLASS 10.1 42030590
ECLASS 11.0 42030590
UNSPSC 12352203
Alias Anti-Forkhead Box Protein P3 antibody, Anti-Scurfin [Cleaved Into-Forkhead Box Protein P3-C-Terminally Processed-Forkhead Box Protein P3 41 Kda Form] antibody, Anti-FOXP3 IPEX JM2 antibody
Similar products Anti-Forkhead Box Protein P3 antibody
Anti-Scurfin [Cleaved Into-Forkhead Box Protein P3-C-Terminally Processed-Forkhead Box Protein P3 41 Kda Form] antibody
Anti-FOXP3 IPEX JM2 antibody
Available
Manufacturer - Type
Primary antibodies
Manufacturer - Targets
FOXP3
Storage Conditions
Store at-20°C for up to 1 year from the date of receipt, and avoid repeat freeze-thaw cycles.
Formulation
Liquid in PBS containing 0.03% Sodium Azide.
Concentration
1 mg/mL
Purification
Affinity purification
Immunogen
Purified recombinant fragment of human FoxP3 expressed in E. Coli.
Clonality
Monoclonal
Gene symbol
FOXP3
Dilution range
WB 1:500-1:2000
IHC 1:200-1:1000
IF 1:200-1:1000
ELISA 1:10000
Note
STRICTLY FOR FURTHER SCIENTIFIC RESEARCH USE ONLY (RUO). MUST NOT TO BE USED IN DIAGNOSTIC OR THERAPEUTIC APPLICATIONS.
Manufacturer - Specificity
FoxP3 Monoclonal Antibody detects endogenous levels of FoxP3 protein.

Note: The presented information and documents (Manual, Product Datasheet, Safety Datasheet and Certificate of Analysis) correspond to our latest update and should serve for orientational purpose only. We do not guarantee the topicality. We would kindly ask you to make a request for specific requirements, if necessary.

All products are intended for research use only (RUO). Not for human, veterinary or therapeutic use.

Amount: 100 ug
Available: In stock
available

Compare

Add to wishlist

Get an offer

Request delivery time

Ask a technical question

Submit a bulk request

Questions about this Product?
 
Close