Comparison

Anti-Phospho-KIF11-Thr926 antibody (892-941 aa) (STJ90532) European Partner

Item no. STJ90532-100
Manufacturer St John's Laboratory
Amount 100 ug
Quantity options 100 ug 20 ug 200 ug 50 ug
Category
Type Antibody Polyclonal
Format Liquid
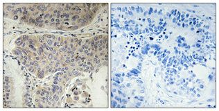
Applications WB, IF, IHC, ELISA
Specific against Human (Homo sapiens), Mouse (Murine, Mus musculus), Rat (Rattus norvegicus)
Host Rabbit
Isotype IgG
Conjugate/Tag Unconjugated
ECLASS 10.1 32160702
ECLASS 11.0 32160702
UNSPSC 12352203
Alias Anti-Kinesin-Like Protein Kif11 antibody, Anti-Kinesin-Like Protein 1 antibody, Anti-Kinesin-Like Spindle Protein Hksp antibody, Anti-Kinesin-Related Motor Protein Eg5 antibody, Anti-Thyroid Receptor-Interacting Protein 5 antibody, Anti-Tr-Interacting Protein 5 antibody, Anti-Trip-5 antibody, Anti-KIF11 EG5 KNSL1 TRIP5 antibody
Similar products Anti-Kinesin-Like Protein Kif11 antibody
Anti-Kinesin-Like Protein 1 antibody
Anti-Kinesin-Like Spindle Protein Hksp antibody
Anti-Kinesin-Related Motor Protein Eg5 antibody
Anti-Thyroid Receptor-Interacting Protein 5 antibody
Anti-Tr-
Available
Manufacturer - Type
Primary antibodies
Manufacturer - Targets
KIF11
Storage Conditions
Store at-20°C for up to 1 year from the date of receipt, and avoid repeat freeze-thaw cycles.
Formulation
Liquid in PBS containing 50% Glycerol, 0.5% BSA and 0.02% Sodium Azide.
Concentration
1 mg/mL
Purification
The antibody was affinity-purified from rabbit antiserum by affinity-chromatography using epitope-specific immunogen.
Immunogen
The antiserum was produced against synthesized peptide derived from the human KIF11/Eg5 around the phosphorylation site of Thr926 at the amino acid range 892-941
Clonality
Polyclonal
Gene symbol
KIF11
Dilution range
WB 1:500-1:2000
ELISA 1:5000
IF 1:50-200
Note
STRICTLY FOR FURTHER SCIENTIFIC RESEARCH USE ONLY (RUO). MUST NOT TO BE USED IN DIAGNOSTIC OR THERAPEUTIC APPLICATIONS.
Immunogen Region
892-941 aa
Manufacturer - Specificity
Phospho-Eg5 (T926) Polyclonal Antibody detects endogenous levels of Eg5 protein only when phosphorylated at T926.

Note: The presented information and documents (Manual, Product Datasheet, Safety Datasheet and Certificate of Analysis) correspond to our latest update and should serve for orientational purpose only. We do not guarantee the topicality. We would kindly ask you to make a request for specific requirements, if necessary.

All products are intended for research use only (RUO). Not for human, veterinary or therapeutic use.

Amount: 100 ug
Available: In stock
available

Compare

Add to wishlist

Get an offer

Request delivery time

Ask a technical question

Submit a bulk request

Questions about this Product?
 
Close