Comparison

Anti-Phospho-EIF2AK2-Thr258 antibody (226-275 aa) (STJ90956) European Partner

Item no. STJ90956-50
Manufacturer St John's Laboratory
Amount 50 ug
Quantity options 100 ug 20 ug 200 ug 50 ug
Category
Type Antibody Polyclonal
Format Liquid
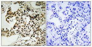
Applications WB, IF, IHC, ELISA
Specific against Human (Homo sapiens), Mouse (Murine, Mus musculus), Rat (Rattus norvegicus)
Host Rabbit
Isotype IgG
Conjugate/Tag Unconjugated
ECLASS 10.1 32160702
ECLASS 11.0 32160702
UNSPSC 12352203
Alias Anti-Interferon-Induced-Double-Stranded Rna-Activated Protein Kinase antibody, Anti-Eukaryotic Translation Initiation Factor 2-Alpha Kinase 2 antibody, Anti-Eif-2a Protein Kinase 2 antibody, Anti-Interferon-Inducible Rna-Dependent Protein Kinase antibody, Anti-P1/Eif-2a Protein Kinase antibody, Anti-Protein Kinase Rna-Activated antibody, Anti-Pkr antibody, Anti-Protein Kinase R antibody, Anti-Tyrosine-Protein Kinase Eif2ak2 antibody, Anti-P68 Kinase antibody, Anti-EIF2AK2 PKR PRKR antibody
Similar products Anti-Interferon-Induced-Double-Stranded Rna-Activated Protein Kinase antibody
Anti-Eukaryotic Translation Initiation Factor 2-Alpha Kinase 2 antibody
Anti-Eif-2a Protein Kinase 2 antibody
Anti-Interferon-Inducible Rna-Dependent Protein Kinase
Available
Manufacturer - Type
Primary antibodies
Manufacturer - Targets
EIF2AK2
Storage Conditions
Store at-20°C for up to 1 year from the date of receipt, and avoid repeat freeze-thaw cycles.
Formulation
Liquid in PBS containing 50% Glycerol, 0.5% BSA and 0.02% Sodium Azide.
Concentration
1 mg/mL
Purification
The antibody was affinity-purified from rabbit antiserum by affinity-chromatography using epitope-specific immunogen.
Immunogen
The antiserum was produced against synthesized peptide derived from the human PKR around the phosphorylation site of Thr258 at the amino acid range 226-275
Clonality
Polyclonal
Gene symbol
EIF2AK2
Dilution range
WB 1:500-1:2000
IHC 1:100-1:300
ELISA 1:20000
IF 1:50-200
Note
STRICTLY FOR FURTHER SCIENTIFIC RESEARCH USE ONLY (RUO). MUST NOT TO BE USED IN DIAGNOSTIC OR THERAPEUTIC APPLICATIONS.
Immunogen Region
226-275 aa
Manufacturer - Specificity
Phospho-PKR (T258) Polyclonal Antibody detects endogenous levels of PKR protein only when phosphorylated at T258.

Note: The presented information and documents (Manual, Product Datasheet, Safety Datasheet and Certificate of Analysis) correspond to our latest update and should serve for orientational purpose only. We do not guarantee the topicality. We would kindly ask you to make a request for specific requirements, if necessary.

All products are intended for research use only (RUO). Not for human, veterinary or therapeutic use.

Amount: 50 ug
Available: In stock
available

Compare

Add to wishlist

Get an offer

Request delivery time

Ask a technical question

Submit a bulk request

Questions about this Product?
 
Close