Comparison

Anti-Phospho-CDKN1B-Thr157 antibody (123-172 aa) (STJ91150) European Partner

Item no. STJ91150-200
Manufacturer St John's Laboratory
Amount 200 ug
Quantity options 100 ug 20 ug 200 ug 50 ug
Category
Type Antibody Polyclonal
Format Liquid
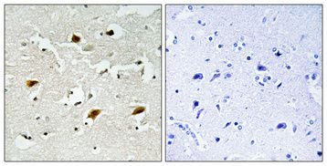
Applications IF, IHC, ELISA
Specific against Human (Homo sapiens), Mouse (Murine, Mus musculus), Rat (Rattus norvegicus)
Host Rabbit
Isotype IgG
Conjugate/Tag Unconjugated
ECLASS 10.1 32160702
ECLASS 11.0 32160702
UNSPSC 12352203
Alias Anti-Cyclin-Dependent Kinase Inhibitor 1b antibody, Anti-Cyclin-Dependent Kinase Inhibitor P27 antibody, Anti-P27kip1 antibody, Anti-CDKN1B KIP1 antibody
Similar products Anti-Cyclin-Dependent Kinase Inhibitor 1b antibody
Anti-Cyclin-Dependent Kinase Inhibitor P27 antibody
Anti-P27kip1 antibody
Anti-CDKN1B KIP1 antibody
Available
Manufacturer - Type
Primary antibodies
Manufacturer - Targets
CDKN1B
Storage Conditions
Store at-20°C for up to 1 year from the date of receipt, and avoid repeat freeze-thaw cycles.
Formulation
Liquid in PBS containing 50% Glycerol, 0.5% BSA and 0.02% Sodium Azide.
Concentration
1 mg/mL
Purification
The antibody was affinity-purified from rabbit antiserum by affinity-chromatography using epitope-specific immunogen.
Immunogen
The antiserum was produced against synthesized peptide derived from the human p27 Kip1 around the phosphorylation site of Thr157 at the amino acid range 123-172
Clonality
Polyclonal
Gene symbol
CDKN1B
Dilution range
IHC 1:100-1:300
ELISA 1:5000
IF 1:50-200
Note
STRICTLY FOR FURTHER SCIENTIFIC RESEARCH USE ONLY (RUO). MUST NOT TO BE USED IN DIAGNOSTIC OR THERAPEUTIC APPLICATIONS.
Immunogen Region
123-172 aa
Manufacturer - Specificity
Phospho-p27 (T157) Polyclonal Antibody detects endogenous levels of p27 protein only when phosphorylated at T157.

Note: The presented information and documents (Manual, Product Datasheet, Safety Datasheet and Certificate of Analysis) correspond to our latest update and should serve for orientational purpose only. We do not guarantee the topicality. We would kindly ask you to make a request for specific requirements, if necessary.

All products are intended for research use only (RUO). Not for human, veterinary or therapeutic use.

Amount: 200 ug
Available: In stock
available

Compare

Add to wishlist

Get an offer

Request delivery time

Ask a technical question

Submit a bulk request

Questions about this Product?
 
Close