Comparison

Anti-ANKRD26 antibody (791-840 aa) (STJ91596) European Partner

Item no. STJ91596-50
Manufacturer St John's Laboratory
Amount 50 ug
Quantity options 100 ug 20 ug 200 ug 50 ug
Category
Type Antibody Polyclonal
Format Liquid
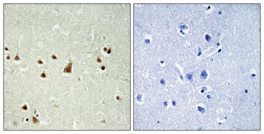
Applications IF, IHC, ELISA
Specific against Human (Homo sapiens), Mouse (Murine, Mus musculus), Rat (Rattus norvegicus)
Host Rabbit
Isotype IgG
Conjugate/Tag Unconjugated
ECLASS 10.1 32160702
ECLASS 11.0 32160702
UNSPSC 12352203
Alias Anti-Ankyrin Repeat Domain-Containing Protein 26 antibody, Anti-ANKRD26 KIAA1074 antibody
Similar products Anti-Ankyrin Repeat Domain-Containing Protein 26 antibody
Anti-ANKRD26 KIAA1074 antibody
Available
Manufacturer - Type
Primary antibodies
Manufacturer - Targets
ANKRD26
Storage Conditions
Store at-20°C for up to 1 year from the date of receipt, and avoid repeat freeze-thaw cycles.
Formulation
Liquid in PBS containing 50% Glycerol, 0.5% BSA and 0.02% Sodium Azide.
Concentration
1 mg/mL
Purification
The antibody was affinity-purified from rabbit antiserum by affinity-chromatography using epitope-specific immunogen.
Immunogen
The antiserum was produced against synthesized peptide derived from the human ANKRD26 at the amino acid range 791-840
Clonality
Polyclonal
Gene symbol
ANKRD26
Dilution range
IHC 1:100-1:300
ELISA 1:5000
IF 1:50-200
Note
STRICTLY FOR FURTHER SCIENTIFIC RESEARCH USE ONLY (RUO). MUST NOT TO BE USED IN DIAGNOSTIC OR THERAPEUTIC APPLICATIONS.
Immunogen Region
791-840 aa
Manufacturer - Specificity
ANKRD26 Polyclonal Antibody detects endogenous levels of ANKRD26 protein.

Note: The presented information and documents (Manual, Product Datasheet, Safety Datasheet and Certificate of Analysis) correspond to our latest update and should serve for orientational purpose only. We do not guarantee the topicality. We would kindly ask you to make a request for specific requirements, if necessary.

All products are intended for research use only (RUO). Not for human, veterinary or therapeutic use.

Amount: 50 ug
Available: In stock
available

Compare

Add to wishlist

Get an offer

Request delivery time

Ask a technical question

Submit a bulk request

Questions about this Product?
 
Close