Comparison

Anti-POTEA antibody (375-424 aa) (STJ95189) European Partner

Item no. STJ95189-200
Manufacturer St John's Laboratory
Amount 200 ug
Quantity options 100 ug 20 ug 200 ug 50 ug
Category
Type Antibody Polyclonal
Format Liquid
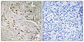
Applications IF, IHC, ELISA
Specific against Human (Homo sapiens), Mouse (Murine, Mus musculus), Rat (Rattus norvegicus)
Host Rabbit
Isotype IgG
Conjugate/Tag Unconjugated
ECLASS 10.1 32160702
ECLASS 11.0 32160702
UNSPSC 12352203
Alias Anti-Pote Ankyrin Domain Family Member A antibody, Anti-Ankrd26-Like Family A Member 1 antibody, Anti-Prostate-Ovary-Testis-Expressed Protein On Chromosome 8 antibody, Anti-Pote-8 antibody, Anti-POTEA A26A1 POTE8 antibody
Similar products Anti-Pote Ankyrin Domain Family Member A antibody
Anti-Ankrd26-Like Family A Member 1 antibody
Anti-Prostate-Ovary-Testis-Expressed Protein On Chromosome 8 antibody
Anti-Pote-8 antibody
Anti-POTEA A26A1 POTE8 antibody
Available
Manufacturer - Type
Primary antibodies
Manufacturer - Targets
POTEA
Storage Conditions
Store at-20°C for up to 1 year from the date of receipt, and avoid repeat freeze-thaw cycles.
Formulation
Liquid in PBS containing 50% Glycerol, 0.5% BSA and 0.02% Sodium Azide.
Concentration
1 mg/mL
Purification
The antibody was affinity-purified from rabbit antiserum by affinity-chromatography using epitope-specific immunogen.
Immunogen
The antiserum was produced against synthesized peptide derived from the human POTEA at the amino acid range 375-424
Clonality
Polyclonal
Gene symbol
POTEA
Dilution range
IHC 1:100-1:300
ELISA 1:5000
IF 1:50-200
Note
STRICTLY FOR FURTHER SCIENTIFIC RESEARCH USE ONLY (RUO). MUST NOT TO BE USED IN DIAGNOSTIC OR THERAPEUTIC APPLICATIONS.
Immunogen Region
375-424 aa
Manufacturer - Specificity
POTE-8 Polyclonal Antibody detects endogenous levels of POTE-8 protein.

Note: The presented information and documents (Manual, Product Datasheet, Safety Datasheet and Certificate of Analysis) correspond to our latest update and should serve for orientational purpose only. We do not guarantee the topicality. We would kindly ask you to make a request for specific requirements, if necessary.

All products are intended for research use only (RUO). Not for human, veterinary or therapeutic use.

Amount: 200 ug
Available: In stock
available

Compare

Add to wishlist

Get an offer

Request delivery time

Ask a technical question

Submit a bulk request

Questions about this Product?
 
Close