Comparison

Anti-TFRC antibody (101-150 aa) (STJ96739) European Partner

Item no. STJ96739-50
Manufacturer St John's Laboratory
Amount 50 ug
Quantity options 100 ug 20 ug 200 ug 50 ug
Category
Type Antibody Polyclonal
Format Liquid
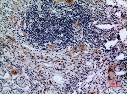
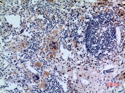
Applications WB, IF, IHC, ELISA
Specific against Human (Homo sapiens), Mouse (Murine, Mus musculus), Rat (Rattus norvegicus)
Host Rabbit
Isotype IgG
Conjugate/Tag Unconjugated
ECLASS 10.1 32160702
ECLASS 11.0 32160702
UNSPSC 12352203
Alias Anti-Transferrin Receptor Protein 1 antibody, Anti-Tr antibody, Anti-Tfr antibody, Anti-Tfr1 antibody, Anti-Trfr antibody, Anti-T9 antibody, Anti-P90 antibody, Anti-Cd Antigen Cd71 [Cleaved Into-Transferrin Receptor Protein 1-Serum Form antibody, Anti-Stfr] antibody, Anti-TFRC antibody
Similar products Anti-Transferrin Receptor Protein 1 antibody
Anti-Tr antibody
Anti-Tfr antibody
Anti-Tfr1 antibody
Anti-Trfr antibody
Anti-T9 antibody
Anti-P90 antibody
Anti-Cd Antigen Cd71 [Cleaved Into-Transferrin Receptor Protein 1-Serum Fo
Available
Manufacturer - Type
Primary antibodies
Manufacturer - Targets
TFRC
Storage Conditions
Store at-20°C for up to 1 year from the date of receipt, and avoid repeat freeze-thaw cycles.
Formulation
Liquid in PBS containing 50% Glycerol, 0.5% BSA and 0.02% Sodium Azide.
Concentration
1 mg/mL
Purification
The antibody was affinity-purified from rabbit antiserum by affinity-chromatography using epitope-specific immunogen.
Immunogen
The antiserum was produced against synthesized peptide derived from the N-terminal region of human TFRC at the amino acid range 101-150
Clonality
Polyclonal
Gene symbol
TFRC
Dilution range
WB 1:500-1:2000
IHC-P 1:100-1:300
ELISA 1:20000
IF 1:50-200
Note
STRICTLY FOR FURTHER SCIENTIFIC RESEARCH USE ONLY (RUO). MUST NOT TO BE USED IN DIAGNOSTIC OR THERAPEUTIC APPLICATIONS.
Immunogen Region
101-150 aa
Manufacturer - Specificity
CD71 Polyclonal Antibody detects endogenous levels of CD71 protein.

Note: The presented information and documents (Manual, Product Datasheet, Safety Datasheet and Certificate of Analysis) correspond to our latest update and should serve for orientational purpose only. We do not guarantee the topicality. We would kindly ask you to make a request for specific requirements, if necessary.

All products are intended for research use only (RUO). Not for human, veterinary or therapeutic use.

Amount: 50 ug
Available: In stock
available

Delivery expected until 10/23/2025 

Compare

Add to wishlist

Get an offer

Request delivery time

Ask a technical question

Submit a bulk request

Questions about this Product?
 
Close