Comparison

Anti-C4a/b antibody (721-770 aa) (STJ97237) European Partner

Item no. STJ97237-200
Manufacturer St John's Laboratory
Amount 200 ug
Quantity options 100 ug 20 ug 200 ug 50 ug
Category
Type Antibody Polyclonal
Format Liquid
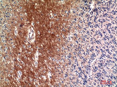
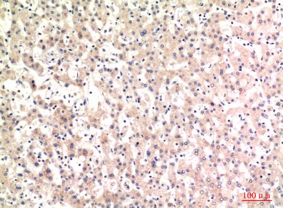
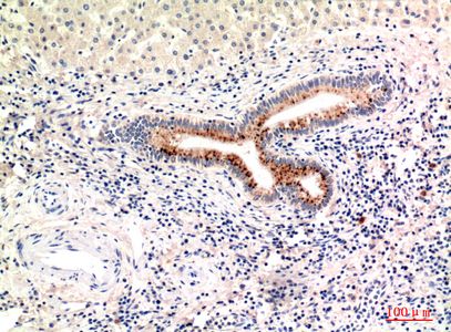
Applications WB, IF, IHC, ELISA
Specific against Human (Homo sapiens), Mouse (Murine, Mus musculus), Rat (Rattus norvegicus)
Host Rabbit
Isotype IgG
Conjugate/Tag Unconjugated
ECLASS 10.1 32160702
ECLASS 11.0 32160702
UNSPSC 12352203
Alias Anti-Complement C4-A antibody, Anti-Acidic Complement C4 antibody, Anti-C3 And Pzp-Like Alpha-2-Macroglobulin Domain-Containing Protein 2 [Cleaved Into-Complement C4 Beta Chain-Complement C4-A Alpha Chain-C4a Anaphylatoxin-C4b-A-C4d-A-Complement C4 Gamma Chain] antibody, Anti-C4A CO4 CPAMD2 antibody
Similar products Anti-Complement C4-A antibody
Anti-Acidic Complement C4 antibody
Anti-C3 And Pzp-Like Alpha-2-Macroglobulin Domain-Containing Protein 2 [Cleaved Into-Complement C4 Beta Chain-Complement C4-A Alpha Chain-C4a Anaphylatoxin-C4b-A-C4d-A-Complement C4
Available
Manufacturer - Type
Primary antibodies
Manufacturer - Targets
C4A/C4B
Storage Conditions
Store at-20°C for up to 1 year from the date of receipt, and avoid repeat freeze-thaw cycles.
Formulation
Liquid in PBS containing 50% Glycerol, 0.5% BSA and 0.02% Sodium Azide.
Concentration
1 mg/mL
Purification
The antibody was affinity-purified from rabbit antiserum by affinity-chromatography using epitope-specific immunogen.
Immunogen
The antiserum was produced against synthesized peptide derived from the Internal region of human C4A/C4B at the amino acid range 721-770
Clonality
Polyclonal
Gene symbol
C4A/C4B
Dilution range
WB 1:500-1:2000
IHC-P 1:100-1:300
ELISA 1:10000
IF 1:50-200
Note
STRICTLY FOR FURTHER SCIENTIFIC RESEARCH USE ONLY (RUO). MUST NOT TO BE USED IN DIAGNOSTIC OR THERAPEUTIC APPLICATIONS.
Immunogen Region
721-770 aa
Manufacturer - Specificity
C4a/b Polyclonal Antibody detects endogenous levels of C4a/b protein.

Note: The presented information and documents (Manual, Product Datasheet, Safety Datasheet and Certificate of Analysis) correspond to our latest update and should serve for orientational purpose only. We do not guarantee the topicality. We would kindly ask you to make a request for specific requirements, if necessary.

All products are intended for research use only (RUO). Not for human, veterinary or therapeutic use.

Amount: 200 ug
Available: In stock
available

Compare

Add to wishlist

Get an offer

Request delivery time

Ask a technical question

Submit a bulk request

Questions about this Product?
 
Close