Comparison

Anti-MAPKAPK5 antibody [7H10B4] (STJ98335) European Partner

Item no. STJ98335-100
Manufacturer St John's Laboratory
Amount 100 ug
Quantity options 100 ug 200 ug 50 ug
Category
Type Antibody Monoclonal
Format Liquid
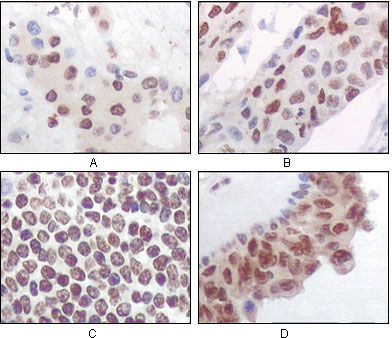
Applications WB, IF, IHC, ELISA
Clone 7H10B4
Specific against Human (Homo sapiens)
Host Mouse
Isotype IgG1
Conjugate/Tag Unconjugated
ECLASS 10.1 42030590
ECLASS 11.0 42030590
UNSPSC 12352203
Alias Anti-Map Kinase-Activated Protein Kinase 5 antibody, Anti-Mapk-Activated Protein Kinase 5 antibody, Anti-Mapkap Kinase 5 antibody, Anti-Mapkap-K5 antibody, Anti-Mapkapk-5 antibody, Anti-Mk-5 antibody, Anti-Mk5 antibody, Anti-P38-Regulated/Activated Protein Kinase antibody, Anti-Prak antibody, Anti-MAPKAPK5 PRAK antibody
Similar products Anti-Map Kinase-Activated Protein Kinase 5 antibody
Anti-Mapk-Activated Protein Kinase 5 antibody
Anti-Mapkap Kinase 5 antibody
Anti-Mapkap-K5 antibody
Anti-Mapkapk-5 antibody
Anti-Mk-5 antibody
Anti-Mk5 antibody
Anti-P38-Regul
Available
Manufacturer - Type
Primary antibodies
Manufacturer - Targets
MAPKAPK5
Storage Conditions
Store at-20°C for up to 1 year from the date of receipt, and avoid repeat freeze-thaw cycles.
Formulation
Liquid in PBS containing 0.03% Sodium Azide, 0.5% BSA, 50% Glycerol.
Purification
Affinity purification
Immunogen
Purified recombinant fragment of PRAK expressed in E. Coli.
Clonality
Monoclonal
Gene symbol
MAPKAPK5
Dilution range
WB 1:500-1:2000
IHC 1:200-1:1000
ELISA 1:10000
IF 1:50-200
Note
STRICTLY FOR FURTHER SCIENTIFIC RESEARCH USE ONLY (RUO). MUST NOT TO BE USED IN DIAGNOSTIC OR THERAPEUTIC APPLICATIONS.
Manufacturer - Specificity
PRAK Monoclonal Antibody detects endogenous levels of PRAK protein.

Note: The presented information and documents (Manual, Product Datasheet, Safety Datasheet and Certificate of Analysis) correspond to our latest update and should serve for orientational purpose only. We do not guarantee the topicality. We would kindly ask you to make a request for specific requirements, if necessary.

All products are intended for research use only (RUO). Not for human, veterinary or therapeutic use.

Amount: 100 ug
Available: In stock
available

Compare

Add to wishlist

Get an offer

Request delivery time

Ask a technical question

Submit a bulk request

Questions about this Product?
 
Close