Comparison

Anti-SNCG antibody [1H10D2] (STJ98409) European Partner

Item no. STJ98409-100
Manufacturer St John's Laboratory
Amount 100 ug
Quantity options 100 ug 200 ug 50 ug
Category
Type Antibody Monoclonal
Format Liquid
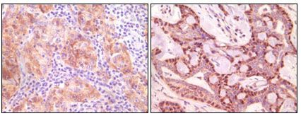
Applications WB, IF, IHC, ELISA
Clone 1H10D2
Specific against Human (Homo sapiens)
Host Mouse
Isotype IgG1
Conjugate/Tag Unconjugated
ECLASS 10.1 42030590
ECLASS 11.0 42030590
UNSPSC 12352203
Alias Anti-Gamma-Synuclein antibody, Anti-Breast Cancer-Specific Gene 1 Protein antibody, Anti-Persyn antibody, Anti-Synoretin antibody, Anti-Sr antibody, Anti-SNCG BCSG1 PERSYN PRSN antibody
Similar products Anti-Gamma-Synuclein antibody
Anti-Breast Cancer-Specific Gene 1 Protein antibody
Anti-Persyn antibody
Anti-Synoretin antibody
Anti-Sr antibody
Anti-SNCG BCSG1 PERSYN PRSN antibody
Available
Manufacturer - Type
Primary antibodies
Manufacturer - Targets
SNCG
Storage Conditions
Store at-20°C for up to 1 year from the date of receipt, and avoid repeat freeze-thaw cycles.
Formulation
Liquid in PBS containing 0.03% Sodium Azide.
Concentration
1 mg/mL
Purification
Affinity purification
Immunogen
Purified recombinant fragment of Synuclein-Gamma expressed in E. Coli.
Clonality
Monoclonal
Gene symbol
SNCG
Dilution range
WB 1:500-1:2000
IHC 1:200-1:1000
ELISA 1:10000
IF 1:50-200
Note
STRICTLY FOR FURTHER SCIENTIFIC RESEARCH USE ONLY (RUO). MUST NOT TO BE USED IN DIAGNOSTIC OR THERAPEUTIC APPLICATIONS.
Manufacturer - Specificity
Synuclein-Gamma Monoclonal Antibody detects endogenous levels of Synuclein-Gamma protein.

Note: The presented information and documents (Manual, Product Datasheet, Safety Datasheet and Certificate of Analysis) correspond to our latest update and should serve for orientational purpose only. We do not guarantee the topicality. We would kindly ask you to make a request for specific requirements, if necessary.

All products are intended for research use only (RUO). Not for human, veterinary or therapeutic use.

Amount: 100 ug
Available: In stock
available

Compare

Add to wishlist

Get an offer

Request delivery time

Ask a technical question

Submit a bulk request

Questions about this Product?
 
Close